Главная / Статьи / Вредные привычки у детей: как они портят прикус и зубы
СОДЕРЖАНИЕ Развернуть

    Какие привычки влияют на формирование прикуса

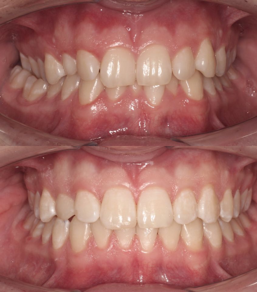
    Многие кажущиеся безобидными привычки ребёнка могут негативно сказаться на развитии зубочелюстной системы. Если вовремя не обратить внимание, они способны привести к неправильному прикусу, искривлению зубов и даже нарушению речи. По данным исследований, почти каждый второй ребёнок с вредными привычками сталкивается с зубочелюстными аномалиями (C.R. Kats; Абдуллаева Н.И., Ибрагимов Ш.У., 2023).

    👆 Сосание пальца

    Эта привычка вызывает смещение зубов вперёд и формирование открытого прикуса. В долгосрочной перспективе меняется даже рост челюсти. По данным М. Моors и J. McDonald, сосание пальца может приводить не только к изменениям зубов, но и к скелетным нарушениям прикуса.

    🍼 Длительное использование пустышки

    При длительном применении соски формируется открытый прикус во фронтальном участке, верхние резцы начинают выдвигаться вперёд, а зубной ряд сужается (Абдуллаева и Ибрагимов, 2023).

    🖊️ Привычка грызть ногти и предметы

    Карандаши, ногти или игрушки создают постоянную нагрузку на зубы и челюсть. Это может провоцировать скученность зубов и сужение верхнего зубного ряда, как показано на клинических наблюдениях (фото-протокол, Grail of Science, 2023).

    😮 Дыхание ртом

    Дети, которые постоянно дышат ртом, постепенно приобретают узкое и высокое («готическое») нёбо, сужение верхней челюсти и деформацию лица (Абдуллаева и Ибрагимов, 2023).

    Источники: C.R. Kats; Абдуллаева Н.И., Ибрагимов Ш.У. «Влияние вредных привычек на развитие зубочелюстной аномалии», Grail of Science, 2023; Moors M., McDonald J. — данные о влиянии сосания пальца на скелетные изменения прикуса.

    Влияние сосания пальца и пустышки на прикус

    Привычки, которые кажутся безобидными, на деле могут изменить рост челюстей и положение зубов. Ниже — простые выводы из крупных исследований, проведённых на детях 2–11 лет:

    Грудное вскармливание снижает риски

    Дети, которых кормили грудью больше 6 месяцев, реже тянутся к пустышке или пальцам. Это значит, что у них меньше шансов столкнуться с открытым прикусом или выступающими зубами в будущем.

    Пустышка ведёт к дополнительным привычкам

    Дети, которые долго пользуются пустышкой, чаще начинают сосать палец. Это усиливает нагрузку на зубы и челюсти и закрепляет вредный паттерн.

    Открытый прикус

    При открытом прикусе верхние и нижние зубы не смыкаются спереди. Это затрудняет откусывание, портит эстетику улыбки и со временем требует ортодонтического лечения. Длительное использование пустышки напрямую связано с этой проблемой.

    Выдвинутые зубы и «второй класс» прикуса

    Сосание пальца больше года приводит к тому, что верхние зубы сильно выдвигаются вперёд, а нижняя челюсть остаётся сзади. В результате формируется так называемый «второй класс прикуса», что в дальнейшем требует длительного исправления.

    Продолжительность привычки решает всё

    По данным исследования Warren J.J. и соавт., 2005, более половины детей, которые сосали палец или пустышку дольше 3 лет, имели нарушения прикуса. Чем дольше сохранялась привычка, тем выше риск открытого прикуса, перекрёстного прикуса и Class II. Даже если ребёнок бросил соску или палец в 3–5 лет, последствия могут сохраняться в возрасте 7–11 лет.

    Что важно помнить родителям

    Отучать ребёнка от пустышки и сосания пальца лучше всего до 2–3 лет. Чем раньше получится убрать привычку, тем меньше вероятность, что придётся лечить прикус с помощью брекетов или капп.

    Источники: Ling H.T.B. и соавт. The association between nutritive, non-nutritive sucking habits and primary dental occlusion, BMC Oral Health, 2018; Warren J.J. и соавт. Effects of non-nutritive sucking habits on occlusal characteristics in the mixed dentition, Pediatr Dent, 2005.

    Мнение нашего ортодонта

    Романова Анастасия Дмитриевна

    Романова А.Д.
    Ортодонт

    «Мамы и папы, самое частое, что я вижу на приёме, — последствия привычек, которые казались “мелочью”: пустышка, сосание пальца, грызение ногтей, дыхание ртом. Хорошая новость — почти всё это можно вовремя остановить. Если убрать привычку до 2–3 лет, прикус чаще развивается правильно. Дольше — выше риск открытого прикуса и “выдвинутых” верхних зубов. Обращайте внимание, как ребёнок дышит во сне и днём: постоянное дыхание ртом сужает верхнюю челюсть и меняет форму нёба.

    Что помогает на практике: мягко ограничиваем пустышку днём, предлагаем альтернативы пальцу (антистресс-игрушки, питьё из трубочки), хвалим за успехи, следим за носовым дыханием (при необходимости — ЛОР), и приходим на дружескую консультацию к ортодонту раз в 6–12 месяцев. Мы подскажем простые упражнения, детские каппы или трейнеры — часто этого достаточно, чтобы обойтись без долгого лечения в будущем. Вы рядом, а мы — рядом с вами.»

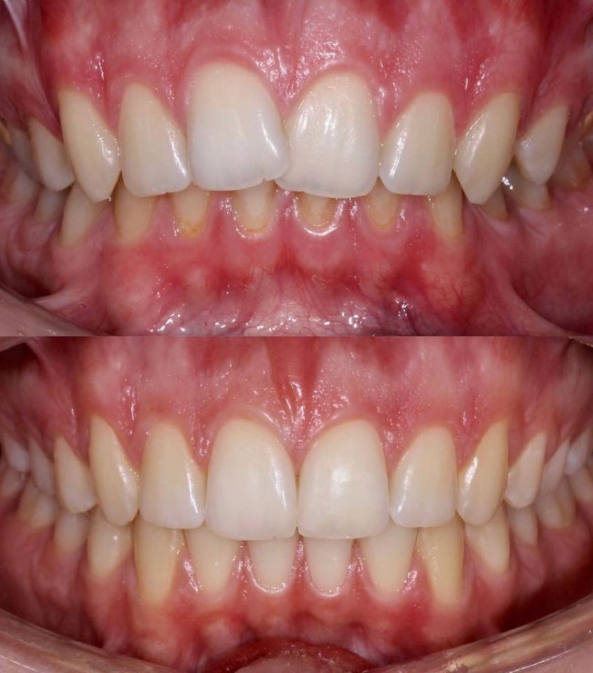
    Прикусывание губ и щёк

    Эта привычка кажется мелочью, но при регулярном повторении меняет смыкание зубов и работу челюстей. Чаще всего мы видим выдвижение верхних передних зубов, «уход» нижней челюсти назад и появление асимметрии улыбки.

    К чему приводит

    Постоянное прикусывание нижней губы толкает верхние резцы вперёд и «стопорит» нижнюю челюсть. Итог — выступающие верхние зубы, смыкание «по второму классу», иногда — перекос линии улыбки.

    Как распознать дома

    Ребёнок «жмёт» губу между зубами при чтении/у экрана, следы прикусов на слизистой щёк, сухие/травмированные края губ, привычная поза с выдвинутой вперёд верхней губой.

    Что делать родителям

    • Мягко переключайте: трубочка для питья, массажёр для губ, антистресс-игрушка в руки.
    • Убирайте триггеры: экран «в упор», скука, стрессовые ситуации — короткие перерывы, вода, перекус.
    • Следите за носовым дыханием и положением языка; при частых травмах — показаться ЛОР-врачу и ортодонту.
    • При необходимости — простые миогимнастические упражнения, временные каппы/трейнеры по назначению врача.

    Источники для углубления:
    Guray E., Orhan M. — Effects of lip and thumb sucking habits on dentofacial structures in children;
    Proffit W.R., Fields H.W., Sarver D.M. — Contemporary Orthodontics (раздел Oral Habits);
    Graber T.M., Vanarsdall R.L., Vig K.W.L. — Orthodontics: Current Principles and Techniques (парафункции);
    Larsson E. — The effect of sucking habits on the occlusion: a review.

    Привычка грызть ногти и предметы

    Это частая «антистресс-привычка»: ребёнок тянет в рот ногти, карандаши, колпачки от ручек, игрушки. На фоне тревоги или скуки такое поведение закрепляется и со временем влияет на прикус и состояние зубов.

    Что показали новые данные (2024)

    В исследовании на 76 детях 9–12 лет с цифровыми сканами челюсти выяснили: верхний центральный резец, которым ребёнок чаще «грызёт», становится длиннее и сильнее наклоняется наружу, а ширина зуба не меняется. Вывод: привычка реально меняет форму и наклон зубов — её нельзя недооценивать. Источник: Ciavarella D. и соавт. Effects of Nail Biting on Upper Central Incisors, Applied Sciences, 2024;14(16):6856. doi:10.3390/app14166856.

    Связь с болями и щелчками в суставе челюсти

    В исследовании 338 детей 9–15 лет (осмотр и опрос за один визит) у 42% нашли хотя бы один симптом проблем с суставом челюсти: щелчки, боль, усталость мышц, износ эмали, головные боли. Привычка грызть карандаши/ногти повышала риск таких симптомов в 2,34 раза, класс II прикуса — в 2,6 раза, а сжатие/скрежет зубами — в 8,9 раза. Источник: Šimunović L. и соавт. The Role of Malocclusion and Oral Parafunctions in Predicting Signs and Symptoms of TMD, 2024. PMCID: PMC11275482.

    К чему приводит

    Неправильная нагрузка на передние зубы → скученность (зубам тесно), повороты зубов вокруг своей оси (иногда говорят «ротации»), выдвижение верхних резцов вперёд, истираемость и сколы краёв. При длительной привычке возможны воспаления дёсен; в редких случаях — укорочение корней (ослабление опоры зуба). Источник: Sachan A., Chaturvedi T.P. Onychophagia (Nail biting), anxiety, and malocclusion, Indian J Dent Res, 2012.

    Как распознать дома

    Обкусанные ногти, «подточенные» края передних зубов, микротрещины эмали, следы от карандашей/колпачков. Часто тянет «грызть» во время экрана, чтения, волнения или скуки.

    Что делать родителям

    • Дать безопасную замену: эластичные жевательные аксессуары по возрасту, жвачка без сахара.
    • «Занять руки»: антистресс-мяч, творчество, спорт; уменьшать триггеры — длинные сессии у экрана, скуку.
    • Ухаживать за ногтями: регулярно подстригать; подросткам помогает маникюр. Повязки на пальцы — как мягкое напоминание.
    • Избегать жёстких запретов и «горьких лаков» — часто не работают и усиливают напряжение.
    • Если привычка стойкая или есть боль/щелчки в суставе — очно к ортодонту; при тревожности — мягкие поведенческие техники с психологом.

    Почему важно вовремя

    Итог зависит от длительности, частоты и силы привычки. Чем раньше удаётся её убрать, тем меньше риск проблем с прикусом и суставом челюсти — часто удаётся обойтись без сложного лечения.

    Итоги и рекомендации от врача

    Романова Анастасия Дмитриевна

    Романова А.Д.
    Ортодонт

    «Главное про детские привычки — они управляемы. Чем раньше замечаем и мягко меняем поведение, тем меньше шансов на проблемы с прикусом и суставом челюсти.»

    • Время решает всё. Пустышку и палец — лучше убирать до 2–3 лет. Каждые дополнительные месяцы увеличивают риски.
    • Ногти и предметы. Ведут к сколам и «выдвижению» передних зубов. Давайте безопасную замену и держите руки занятыми.
    • Губы/щёки и язык. Прикусывание и «толкание» языком формируют щели спереди и неправильное смыкание. Помогают простые упражнения и контроль привычек.
    • Дыхание ртом — не норма. Часто связано с узкой верхней челюстью. Нужна проверка носового дыхания у ЛОР-врача и осмотр у ортодонта.
    • Без стресса и «стыда». Работают похвала, маленькие шаги, ритуалы перед сном, чёткие правила у экрана и в школе.
    • Когда показаться раньше: щель между передними зубами, постоянно выдвинутые верхние зубы, щелчки/боль в суставе, храп/рот открыт во сне, частые травмы слизистой.
    • Наблюдение. Контроль у ортодонта каждые 6–12 месяцев. Часто достаточно привычек и упражнений, без «тяжёлого» лечения.

    «Если сомневаетесь — приходите на короткий осмотр. Обсудим план на понятном языке и подберём простые шаги для дома. Вы молодцы, что спрашиваете — это уже половина успеха!»

    Часто задаваемые вопросы о вредных привычках и прикусе

    Сосание пальца само пройдёт?

    Иногда — да. Но если привычка остаётся после 3–4 лет или происходит ежедневно и подолгу, растут риски для прикуса. Лучше помогать отказаться мягко и заранее.

    До какого возраста «безопасна» пустышка?

    Оптимально убрать к 12–18 мес, максимум — до 2 лет. Долгое использование повышает шанс открытого прикуса и «выдвижения» передних зубов.

    Ротовое дыхание — это норма?

    Нет. Часто связано с ЛОР-проблемами и узкой верхней челюстью. Нужны осмотры у ЛОР-врача и ортодонта.

    Правда ли, что грызть ногти и предметы вредно?

    Да. Это даёт перегрузку: сколы, стираемость, повороты зубов и их «выдвижение» вперёд; у части детей появляются щелчки/усталость в суставе челюсти.

    Что такое «ротации» зубов простыми словами?

    Это когда зуб повернулся вокруг своей оси и стоит неровно — из-за этого выглядит теснота и кривая линия улыбки.

    Отказались от привычки — прикус сам выровняется?

    У малышей часто есть обратимость: щель спереди может частично/полностью закрыться за 3–6 месяцев. Если есть ротовое дыхание или «толкание» языком — понадобится помощь врача и упражнения.

    Как помочь ребёнку бросить привычку без давления?

    Дайте замену (жевательные аксессуары по возрасту), «занимайте руки», делайте перерывы от экрана, используйте похвалу и календарь с наклейками. Без стыда и наказаний.

    Когда точно идти к ортодонту?

    Если есть щель спереди, сильно выступающие верхние зубы, открытый рот во сне, щелчки/боль в суставе, привычка держится месяцами или заметна кривизна зубов.

    Нужны ли брекеты из-за привычек?

    Не всегда. Сначала убираем привычку, налаживаем носовое дыхание, делаем упражнения/трейнеры. Брекеты — если неровности остаются.

    Могут ли привычки вызывать боли и щелчки в суставе челюсти?

    Да. При грызении ногтей/предметов и сжатии зубов такие симптомы встречаются чаще. Нужен ранний осмотр.

    Грудное вскармливание влияет на риск вредных привычек?

    Да. Дети, которых дольше кормят грудью, реже тянутся к пустышке и пальцу — косвенно это снижает риски для прикуса.

    Когда ждать улучшений после отказа от привычки?

    Первые изменения — через 4–12 недель, итог оценивают через 6–12 месяцев. Зависит от возраста и того, насколько полностью привычка убрана.

    ❓ Нужен план отказа от привычки под вашего ребёнка?

    Использованные источники

    1. 1

      Ling HTB, Sum FHKMHS, Zhang L, Yeung CPW, Li KY, Wong HM, Yang Y.

      The association between nutritive, non-nutritive sucking habits and primary dental occlusion. BMC Oral Health. 2018. PMCID: PMC6106723; PMID: 30134878.

    2. 2

      Warren JJ, Slayton RL, Yonezu T, Bishara SE, Levy SM, Kanellis MJ.

      Effects of Nonnutritive Sucking Habits on Occlusal Characteristics in the Mixed Dentition. Pediatric Dentistry. 2005;27:445–450.

    3. 3

      Sachan A., Chaturvedi T.P.

      Onychophagia (Nail biting), anxiety, and malocclusion. Indian Journal of Dental Research. 2012;23(5):681–. DOI: 10.4103/0970-9290.107399.

    4. 4

      Ciavarella D., Montaruli G., Giuliani L., Bisceglia M., Laurenziello M., Fanelli C., Lorusso M., Esposito R., Tepedino M.

      Effects of Nail Biting (Onychophagy) on Upper Central Incisors in Children and Young Adolescents. Applied Sciences. 2024;14(16):6856. DOI: 10.3390/app14166856.

    5. 5

      Šimunović L., Lapter Varga M., Negovetić Vranić D., Čuković-Bagić I., Bergman L., Meštrović S.

      The Role of Malocclusion and Oral Parafunctions in Predicting Signs and Symptoms of Temporomandibular Disorders — A Cross-Sectional Study. 2024. PMCID: PMC11275482.

    6. 6

      Абдуллаева Н.И., Ибрагимов Ш.У.

      Влияние вредных привычек на развитие зубочелюстной аномалии. Международный научный журнал «Грааль науки». №29, июль 2023.

    *Оформление ссылок соответствует стилистике сайта; по запросу предоставим расширенную библиографию (DOI/ссылки на PubMed/PMC).

    CRM-форма появится здесь

    ⚠️ Медицинский отказ от ответственности

    🩺 Каждая статья на сайте подготовлена квалифицированным стоматологом и проходит проверку главным врачом клиники DentalOpera. Мы следим за качеством и достоверностью публикуемой информации.

    🔹 Вся информация размещена исключительно в информационных и образовательных целях.

    🔹 Материалы не предназначены для постановки диагноза, назначения лечения или замены очной консультации у врача.

    🔹 Редакция, авторы и владельцы сайта не несут ответственности за действия, предпринятые на основании прочитанного без консультации со специалистом.

    Важно: каждый клинический случай индивидуален. Точный диагноз и план лечения может поставить только квалифицированный врач на очном приёме. Не занимайтесь самолечением.