Главная / Лечение кариеса в Москве / Как выглядит кариес на зубах

В данной статье мы подробно рассмотрим методы диагностики кариеса, применяемые врачами стоматологами в 2023 году. Основное внимание будет уделено тому, как выглядит кариес на зубах и какие методы позволяют точно определить его наличие или отсутствие. Диагностика кариеса – это важный этап в области профилактики и лечения заболеваний полости рта. Существует несколько методов, каждый из которых обладает своими характеристиками и преимуществами. Давайте рассмотрим подробнее, как врачи определяют кариес на зубах и какие современные технологии помогают им в этом процессе.

ОСТОРОЖНО ПРИСУТСТВУЮТ ФОТО НА ТЕМУ КАК ВЫГЛЯДИТ КАРИЕС НА ЗУБАХ

Как определить кариес

Визуальный осмотр – это первый шаг в определении заболеваний полости рта, который стоматолог выполняет. В ходе этой процедуры врач может использовать специальное освещение и увеличивающие устройства, чтобы обнаружить визуальные изменения на зубах или деснах, указывающие на патологические процессы.

Одно исследование по визуальному или визуально-тактильному осмотру для диагностики зубного кариеса, проведенное в 2020 году, охватило 67 исследований, в которых было изучено 19 590 зубов.

Результаты этих исследований показали, что в случае использования системы визуальной классификации при обычном стоматологическом осмотре 1000 участков или поверхностей зубов, из которых 350 (28%) имели ранний кариес:

• Система визуальной классификации указала бы на наличие раннего кариеса примерно у 403 человек, при этом у 163 (40%) из них кариеса не было (ложноположительный результат – неправильный диагноз);

• Среди 597 участков или поверхностей зубов, на которых система указала на отсутствие кариеса, 40 (7%) все же имели ранний кариес (ложноотрицательный результат – неверный диагноз).

Таким образом, визуальный осмотр играет важную роль в ранней диагностике кариеса, хотя его результаты могут быть несколько неточными и требуют применения дополнительных методов диагностики.

кариозный зуб

На фото представлен скрытый кариес на апроксимальной поверхности зуба

зуб до лечения

Кариес не всегда проявляется как темное пятно, такое бывает в случае поражения зуба с контактной поверхности. Эмаль остается целой, и просто слегка меняет цвет на "белесоватый. Такую полость легче всего увидеть на КЛКТ и рентгене.

Во время лечения

Как видно после "встрытия" зуба, ткани внутри более темного цвета и изменены по структуре. Дентин мягкий легко убирается инструментом

окрашивание

Окрашивание специальным индикатором "Кариес-индикатор" показывает зоны поражаения ярко малиновым цветом. Такие ткани необходимо убирать.

Мягкий дентин

Так же на фото можно увидить "комочки" тканей мягкой консистенции - это CID дентин. То есть ткани инфицированные кариесом.

Читайте в нашей статье

📖 Причины кариеса у взрослых

Узнайте, какие факторы — от неправильной гигиены и питания до сухости во рту, генетики и рефлюкса — повышают риск развития кариеса. Подробный разбор с примерами и советами врача.

Читать статью

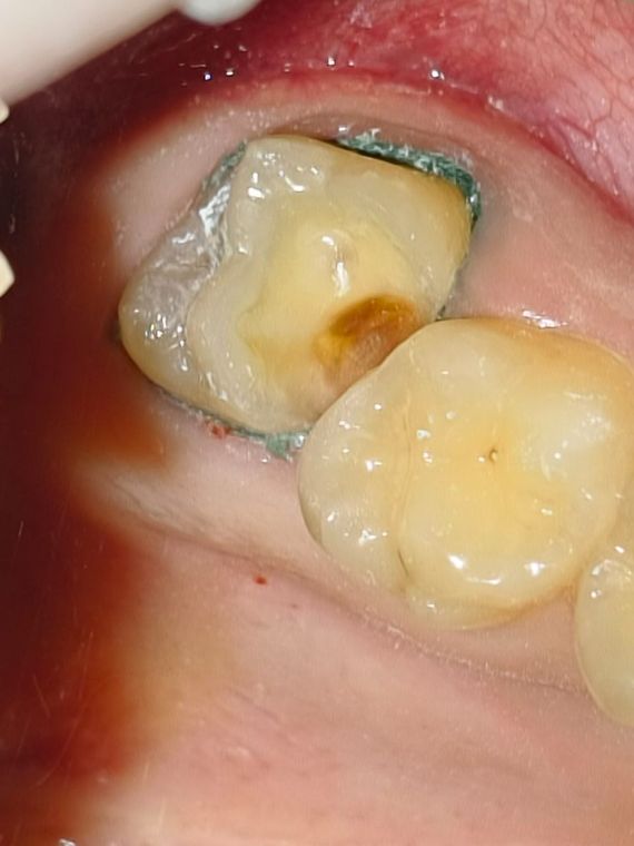
как выглядит зубной кариес на жевательном зубе

На фото представлен глубокий кариес на жевательном зубе

зуб до лечения

Глубокий кариес на жевательной поверхности легко определяется врачом при осмотре, зуб изменен в цвете с светло желтого на сероватый, можно обнаружить полости темного цвета в которых застревает стоматологический зонд.

Во время лечения

При вскрытие эмали зуба, визуализируется кариозные ткани КИД (кариес инфицированный дентин) 

окрашивание

Так же видно что ткани размягчины, и легко убираются ручными инструментами. Полость очень обьемная и глубокая

Мягкий дентин

В данном случае темная ткань это - CAD дентин - это часть зуба, которая повреждена кариесом. Такие ткани допустимо сохранить, для того чтобы не депульпировать зуб и оставить его "живым"

Из данного исследования мы можем сделать вывод - что первичная диагностика кариеса, при помощи визуального осмотра, является важным этапом в планировании лечения, но для подтверждения диагноза, необходимо провести дополнительные исследования. 

Рентгенологическая диагностика

Рентгеновское исследование - один из наиболее надежных способов определить степень поражения зубов кариесом. При этом методе рентгеновские лучи проходят через зубные ткани, взаимодействуя с эмалью и дентином. Кариес вызывает деминерализацию зубных тканей, образуя полости внутри зуба. Этот процесс сопровождается уменьшением плотности тканей и создает затемнения на рентгеновских снимках.

Таким образом, на рентгеновском снимке кариес выглядит как затемнение зубных тканей. Чем глубже поражение кариесом, тем выраженное затемнение на снимке. Этот метод также позволяет определить местоположение и размеры полостей, что критически важно для выбора метода лечения.

Тем не менее, стоит отметить, что рентгеновская диагностика имеет свои ограничения. Например, на ранних стадиях развития кариеса, когда деминерализация тканей незначительна, ее может быть сложно выявить. Этот метод также не обеспечивает детальной информации о степени деминерализации тканей, так как он не всегда достаточно чувствителен. Кроме того, рентгеновское исследование нельзя провести при наличии аллергии на рентгеновские лучи.

В целом, рентгеновская диагностика кариеса является важным инструментом для определения степени поражения зубов кариесом и выбора метода лечения. Тем не менее, для более точной диагностики и эффективного контр

Как часто необходимо делать рентген зубов?

Частота проведения рентгеновских исследований зубов зависит от нескольких факторов, таких как возраст, состояние полости рта, медицинская история и риск возможных повреждений или заболеваний, а также индивидуальные особенности пациента.

Для взрослых с здоровыми зубами, рекомендуется проводить рентгеновские снимки каждые 2-3 года согласно рекомендациям Американской стоматологической ассоциации. Однако, если у пациента имеется медицинская история заболеваний или повреждений зубов, стоматолог может предложить более частые рентгеновские исследования для более детальной оценки состояния зубов и тканей полости рта. В таком случае рентгенологическое исследование рекомендовано проводить раз в 12 месяцев.

Кроме того, если у пациента есть высокий риск заболеваний или повреждений зубов, например, из-за генетических факторов, неправильного ухода за полостью рта или определенных пищевых привычек, стоматолог может рекомендовать более частые рентгеновские исследования для раннего выявления и профилактики возможных заболеваний.

В случае беременности стоматолог может рекомендовать рентгеновские исследования только в крайне необходимых случаях, например, для диагностики стоматологических проблем или проведения неотложного лечения, когда это абсолютно необходимо для сохранения здоровья матери и ребенка.

Мнение эксперта

"Кариес - это болезнь зубов, вызванная кислотами, которые разрушают ткани зуба. В начале он невидим, но по мере развития появляются темные или коричневые пятна на зубах. На рентгене кариес выглядит как темные участки внутри зуба. Врач использует рентген, чтобы увидеть, насколько сильно поражены зубы. Это помогает выбрать лучший способ лечения.".

Рамиль Искендеров

Главный врач клиники, стоматолог-ортопед, хирург-имплантолог

записаться на прием

КОМПЬЮТЕРНАЯ ТОМОГРАФИЯ ИЛИ КЛКТ ЗУБОВ.

Конусно-лучевая компьютерная томография (КЛКТ) – это передовая технология в мире стоматологии, предоставляющая возможность врачам получать трехмерные изображения внутренних структур рта и лица. Этот метод визуализации позволяет более детально исследовать кости, нервы и мягкие ткани внутри полости рта. Для проведения КЛКТ пациент стоит в неподвижном положении, пока специальный сканер вращается вокруг головы, делая сотни срезов из разных ракурсов. Эти срезы затем объединяются в одно трехмерное изображение, которое предоставляет детальные данные о внутренних структурах.

Одной из основных особенностей КЛКТ является его быстрота и точность. В большинстве случаев процедура занимает всего 20-40 секунд, что делает ее удобной и эффективной для пациентов. Во время сканирования пациент может попросить принять определенное положение, чтобы гарантировать наилучшие результаты.

Кроме того, КЛКТ использует излучение, но в значительно меньших дозах по сравнению с традиционными компьютерными томографами. Это означает, что пациенты подвергаются минимальному воздействию радиации, делая процедуру относительно безопасной. Сканирование КЛКТ также является неинвазивным методом, то есть не требует внедрения инструментов внутрь организма, что уменьшает риск инфекций и увеличивает комфорт пациента.

Благодаря своей точности и возможности создания трехмерных изображений, КЛКТ является ценным инструментом для диагностики и планирования лечения в различных случаях, включая хирургические вмешательства, ортодонтическое лечение, имплантацию зубов и другие стоматологические процедуры. Позволяя врачам увидеть внутренние структуры в высоком разрешении, КЛКТ способствует более точному и эффективному лечению, повышая качество заботы о пациенте.

исследования

КЛКТ-изображение кажется лучшим решением для обнаружения и оценки глубины кариеса в аппроксимальных и окклюзионных поражениях. Недавняя работа с настольными локальными или
ограниченные системы CBCT (LCT) продемонстрировали потенциал для обнаружения кариеса и характеристики глубины с помощью систем с высоким разрешением.
Работа, выполненная van Daatselaar и соавт., продемонстрировала превосходство изображений LCT для обнаружения кариеса и отметила, что количество исходных изображений может составлять всего 14. 

DiagnoCam

Диагнокам — это метод визуализации, альтернативный рентгеновским снимкам, и часть новейших технологий в стоматологической визуализации. Он может сканировать ваши зубы с помощью лазерного луча. Эта сложная стоматологическая технология позволяет нашим стоматологам делать подробные снимки вашего рта без использования рентгеновских лучей.

как выглядит кариес

С помощью безболезненного лазера настроенного на определенную длину волны, мы можем осветить ваши зубы, превращая их в световод, который выявляет любые повреждения или трещины. Когда свет преломляется из-за этих повреждений, наши специалисты видят тени на экране. Этот метод также позволяет транслировать изображение ваших зубов на монитор, что дает возможность врачу и вам увидеть состояние вашего рта в реальном времени. Благодаря этому инструменту мы можем выявить кариес и ранние проблемы даже под пломбами, которые невозможно увидеть невооруженным глазом. Это помогает нам эффективно работать и предотвращать будущие проблемы, выявляя их на ранней стадии.

Исследования: «Caries Detection with DIAGNOCam: A Review» Элиас П, Рачковский М и Сурдацкая А показали следующее:
Проанализированная литература указывает на то, что DIAGNOCam может
рассматривать как эффективный диагностический инструмент для целей современной диагностики. Прежде всего, он эфективен при оценке проксимальных поверхностей задних зубов, особенно в случаях, когда ожидается кариес эмали.
Позволяет обнаружить кариес на ранней стадии, на которой реминерализация
Может быть вылечена неинвазивно, вместо оперативного лечения
что включало бы удаление структуры зуба. В связи с тем, что изображения
можно сохранить в электронном виде, устройство может служить ценным инструментом в обучении и мотивации пациентов. Потому что нет ионизирующего излучения используется, этот метод безопасен, и исследование может быть выполнено многократно, в том числе у беременных. Несмотря на то, что рентгенография особенно прикусные рентгенограммы, по-прежнему широко используются при кариесе диагноз, обследование с использованием инфракрасного света может представлять собой дополнение других диагностических методов, которые могут сделать диагностический процесс более точен и надежен. 

выводы:

Существует несколько способов диагностики кариеса, и выбор метода зависит от клинической ситуации и решения врача. Эти методы включают в себя визуальный осмотр, применение специальных инструментов для обнаружения ранних признаков кариеса и использование рентгеновских лучей или лазерного сканирования для обнаружения более глубоких повреждений. Решение о выборе метода может зависеть от факторов, таких как возраст пациента, степень развития кариеса и наличие других проблем в полости рта. Врач также учитывает пожелания пациента. Правильная диагностика кариеса критически важна для здоровья зубов и предотвращения серьезных проблем. При посещении стоматолога важно обсудить с врачом подходящий метод диагностики для конкретной ситуации.

Статья проверена

Стаж работы с 2006 года
Соискатель ученой степени К.М.Н.
Специализация: терапия и эндодонтия 

Кузнецова Елена Борисовна

врач стоматолог-терапевт

записаться на прием

Кариес - это одно из наиболее распространенных заболеваний в мире, которое развивается вследствие образования на поверхности зубов белого налета. Этот налет состоит из остатков пищи и бактерий и образуется вследствие употребления сладких и углеводных продуктов. При недостаточной гигиени микроорганизмы в налете приводят к образованию кислых растворов, которые разрушают твердые ткани зуба.

На самом начальном этапе кариеса образуется небольшой очаг разрушения эмали. При недостаточном внимании к гигиени и неправильном рационе питания, кариес распространяется на внутренние слои зуба, достигая зубного мозга (пульпы). Это может привести к острым болям и воспалительным процессам.

Важно начать лечение на ранней стадии. Пациенты должны тщательно чистить зубы щеткой и используя зубной флосс. Регулярные визиты к стоматологу обнаружат начальные очаги кариеса и предотвратят его дальнейшее распространение. Современная стоматология предоставляет множество методов лечения, начиная от применения паст с фтором до использования бормашины и ирригатора. Стоматологи могут также использовать микроскопы для более точного определения очагов кариеса и проведения точной терапии.

Самостоятельное принятие мер - это ключевой момент. Правильный рацион, богатый витаминами и минералами, поможет укрепить зубы и предотвратить образование кариеса. Пациенты также могут воспользоваться ответами на свои вопросы, записавшись на консультацию к стоматологу. Врачи предоставляют полезные советы по уходу за зубами и помогут выбрать наиболее подходящие методики диагностики и лечения кариеса.

Специалисты советуют обращаться в стоматологические клиники сразу при появлении первых болевых ощущений, чтобы избежать больших осложнений и потери зубов. Успешное лечение возможно при своевременном обращении к врачу и соблюдении правильной политики ухода за полостью рта. Пациенты могут записаться на прием, просто позвонив в клинику, где квалифицированные врачи готовы окажут профессиональную помощь и ответят на все вопросы.

В современных условиях стоматология становится быстро развивающейся областью медицины. Некоторые процедуры, которые раньше могли вызвать неприятные ощущения у пациентов, теперь могут быть проведены без боли благодаря новым методам и средствам обезболивания. Среди наиболее характерных процедур можно выделить лечение каналов, которое затрагивает самые тонкие структуры в ротовой полости.

Поддержание постоянных забот о зубах и деснах имеет большое значение. Например, регулярная гигиеническая чистка, правильное питание (с учётом уровня потребления углеводов), и вовремя обращение к стоматологу могут предотвратить возникновение патологий и воспалений.

Важно обратить внимание на внешние факторы, такие как уровень кальция и витаминов в организме. Эти химические элементы имеют ключевое значение для здоровья зубов и их формы. При нарушении баланса этих веществ возникает опасность разрушения эмали и возникновения обратного эффекта — повышенной чувствительности и раздражителей.

Лечение каналов стало более доступным и безопасным с развитием механических и химических методов. Однако, в случае повышенной чувствительности или наличия нервного нарушения, следует немедленно обратиться к специалисту. Врач определит подходящую процедуру и применит необходимые средства для устранения болевых ощущений. Сегодня стоматология стала гораздо более дружелюбной и безопасной, обеспечивая высокие стандарты ухода за зубами и оральным здоровьем.

связанные страницы


Каждая страница на нашем сайте корректируется врачом стоматологом с опытом работы с 2009 года. Наш главный врач Искендеров Рамиль Мазахирович проверяет каждую статью после ее публикации. Не смотря на это каждый случай индивидуален имеются противопоказания, для точной постановки диагноза необходимо проконсультироваться со специалистом.

Часто задаваемые вопросы

Какие причины могут привести к развитию кариозной эмали на зубах?

Причины развития кариозной эмали включают неправильный уход за зубами, употребление сладкой и кислой пищи, а также наличие бактерий в зубной плаке.

Какие симптомы указывают на начальные стадии заболевания эмали?

Начальные стадии кариозного поражения могут проявляться в виде чувствительности к холодному или сладкому, а также образования белых или коричневых пятен на поверхности зубов.

Как происходит процесс диагностики кариозных поражений в стоматологической клинике?

Диагностика кариозных поражений включает в себя визуальный осмотр, использование рентгеновских снимков и иногда лазерных методов для определения глубины поражения эмали.

Какие способы лечения кариеса существуют?

Лечение кариеса зависит от стадии и локализации заболевания. На ранних стадиях зуб могут восстановить с помощью препарирования и пломбирования пораженной области. В случае болезненных ощущений может быть применена витальная обработка. При глубоком разрушении зуба может потребоваться удаление зуба и его замена имплантатом или циркониевым коронками. Также проводятся профилактические мероприятия, такие как фторирование и использование несъемных элайнеров.

Как можно предотвратить возникновение кариеса?

Для профилактики кариеса рекомендуется регулярно чистить зубы и использовать нити для очистки межзубных промежутков. Также следует ограничить потребление сладостей и кислотных напитков, а также проходить регулярные осмотры у стоматолога. 

Каким образом стоматология может лечить кариозные пятна на зубной эмали пациента?

Стоматология может лечить кариозные пятна путем удаления пораженных участков эмали, а затем применения специальных материалов для восстановления зуба. Процедуры могут включать лечение фтором и пастами для укрепления эмали.

Какие данные стоматологические методы используются для удаления кариозных изменений в эмали?

Для удаления кариозных изменений в эмали используются методы бормашин, лазерная терапия и иногда, в случае продвинутых случаев, может потребоваться удаление пораженного зуба и его замена микро протезом. Эффективные методы лечения определяются врачом на основе данных диагностики и стадии заболевания.

приходите к нам


телефон:
+7 (495) 021-90-60
адрес:
г. Москва Садовая-Черногрязская 11/2