Романова Анастасия Дмитриевна

Романова Анастасия Дмитриевна

Стоматолог-ортодонт.

Стаж: 4 года • 6 отзывов

Стоматолог-ортодонт Работа со взрослыми и детьми Москва

Занимается диагностикой и лечением зубочелюстных аномалий, ведёт пациентов на брекет-системах и элайнерах. Внимательно относится к деталям, объясняет каждый этап лечения и помогает подобрать комфортный, предсказуемый план ортодонтической терапии.

Записаться

Образование и квалификация

  • Первый МГМУ им. И.М. Сеченова (2021) — «Стоматология», с отличием
  • ЦНИИС и ЧЛХ (2023) — «Ортодонтия», ординатура

Курсы повышения квалификации

  • «Школа ортодонтии», Москва (2020)

Город: Москва; документы проверены.
Обновлено: 21.07.2025

Какие задачи решает ортодонт

Комплексная ортодонтическая помощь детям, подросткам и взрослым: выравнивание зубов, коррекция прикуса, работа с брекет-системами и элайнерами, а также обеспечение стабильного и долгосрочного результата.

Диагностика

Первичная консультация и план лечения

Анализ прикуса, фото- и 3D-диагностика, составление индивидуального плана лечения с учётом возраста и задач пациента.

Брекет-системы

Металлические и керамические брекеты

Исправление прикуса и выравнивание зубов с помощью современных брекет-систем, подбор оптимального варианта по эстетике и комфорту.

Элайнеры

Прозрачные каппы для выравнивания зубов

Лечение на практически незаметных элайнерах, цифровое планирование движения зубов и прогнозируемый результат.

Дети и подростки

Раннее ортодонтическое лечение

Контроль роста челюстей, съёмные аппараты и пластины, профилактика тяжёлых аномалий прикуса в будущем.

Взрослые

Ортодонтия для взрослых

Коррекция прикуса у взрослых пациентов, подготовка к ортопедическому лечению, имплантации и комплексной реабилитации.

Миофункция

Работа с функцией и привычками

Коррекция вредных привычек, работа с положением языка и типом дыхания для стабильного ортодонтического результата.

Ретенция

Удержание достигнутого результата

Фиксированные и съёмные ретейнеры, контроль после снятия брекетов или элайнеров, профилактика повторного смещения зубов.

Совместное лечение

Работа в команде специалистов

Планирование лечения совместно с терапевтами, ортопедами и хирургами для комплексного улучшения функции и эстетики улыбки.

Комфорт

Щадящие протоколы и сопровождение

Постепенная адаптация к аппаратам, мягкие дуги и элайнеры, подробные рекомендации по уходу и регулярное наблюдение.

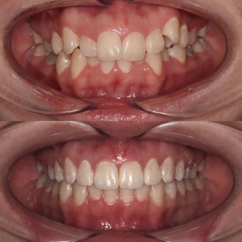
Фото работ

Cертификаты

услуги

Консультация

2000р

Составление плана лечения

Если зубы неровные

От 110 000₽
Металлические брекеты, элайнеры

ОТЗЫВЫ

КОНТАКТЫ