Главная / Лечение кариеса в Москве / Кариес по Блэку: класссификация и лечение 

Основы лечения кариеса по Блэку

🦷 Что такое кариес и почему он опасен

Кариес — это хроническое разрушение эмали и дентина, вызванное кислотами, которые производят бактерии. Без лечения процесс постепенно углубляется и может привести к боли, воспалению нерва и даже потере зуба. Чем раньше выявлено поражение, тем проще и безопаснее его восстановить.

📖 Зачем нужна классификация Блэка

Классификация Блэка помогает стоматологу определить, в каком именно участке зуба находится кариес. Это важно для выбора правильного способа лечения: объёма препарирования, типа реставрации и методики восстановления формы зуба. У каждого класса — свой протокол.

🔬 Современные методы лечения

Сегодня используются щадящие технологии: лазер, пескоструйные системы, инфильтрационная терапия ICON, а также композиты последнего поколения. Эти методы позволяют сохранить максимальное количество здоровых тканей и получить прочную, эстетичную реставрацию.

➡️ Что вы узнаете дальше

Далее мы подробно объясним, как лечится каждый класс кариеса по Блэку, чем они отличаются и какие технологии используются для восстановления зубов в различных клинических ситуациях.
Это поможет вам лучше понимать план лечения и принимать взвешенные решения.

Деление кариеса зубов по Блэку

Классификация кариеса по блеку (Black's Classification) является одной из систем классификации зубного кариеса, разработанной Г. В. Блеком в 1916 году. Эта классификация основана на морфологических характеристиках пораженных зубов . Кариес классифицируется по форме и местоположению пораженной поверхности зуба. В зависимости от формы кариеса стоматолог терапевт принимает решение о выборе лечения и установки пломбы. Вот основные классы кариеса по блеку:

Классификация Блэка

Кариес по классам I–VI

Полная классификация кариозных поражений по Блэку, включая VI класс, добавленный ВОЗ.

Класс I
01
Фиссурный кариес I класс — окклюзионные поверхности

Поражение углублений, фиссур и ямок на жевательной поверхности премоляров и моляров.

Фиссуры Жевательные зубы
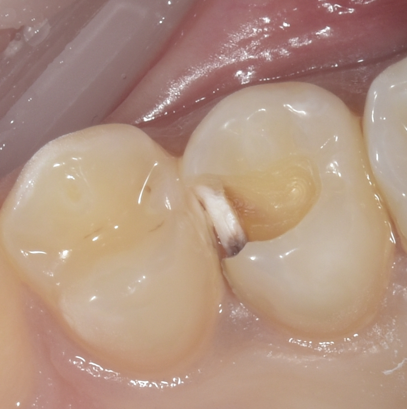
Класс II
02
Контактные поверхности II класс — моляры и премоляры

Кариес между боковыми поверхностями жевательных зубов. Часто скрыт — видно только на осмотре.

Контакты Моляры
Класс III
03
Фронтальные зубы III класс — без поражения режущего края

Кариес между передними зубами (резцы, клыки), без перехода на режущий край.

Передние зубы Межзубные зоны
Класс IV
04
Фронтальные зубы IV класс — с поражением режущего края

Кариес боковой поверхности с переходом на режущий край резцов и клыков.

Режущий край Эстетическая зона
Класс V
05
Пришеечный кариес V класс — у шейки зубов

Поражение пришеечной области на наружной или внутренней поверхности зубов.

Пришеечная зона Любые зубы
Класс VI
06
Режущий край · Бугорки VI класс — поражение верхней кромки зуба

Кариес, возникающий на бугорках моляров/премоляров и на режущих краях резцов и клыков. Всегда локализуется только на самой верхней кромке.

Бугорки Режущий край

Карточки служат для визуального понимания локализации дефектов и не заменяют диагностику.

ЛЕЧЕНИЕ КАРИЕСА

Как лечат кариес?

Кариес остаётся одним из самых распространённых заболеваний зубов в мире. Несмотря на развитие стоматологии, разрушение твёрдых тканей встречается у людей всех возрастов. По сути, кариес — это хронический процесс деминерализации эмали и дентина, вызванный кислотами, которые вырабатывают бактерии при расщеплении углеводов.

Постепенное разрушение структуры зуба может привести к чувствительности, боли и потере зуба, если не начать лечение вовремя. Современная стоматология располагает широким спектром методов диагностики и восстановления, что позволяет подобрать оптимальный протокол для каждого клинического случая.

Особенно важным является понимание класса кариеса по Блэку, так как это напрямую влияет на подход к лечению, объём препарирования и выбор материалов.

Общие принципы лечения

🦷
1. Препарирование
  • бормашиной, лазером или пескоструйной системой;
  • объём препарирования зависит от глубины и локализации;
  • удаляются только разрушенные ткани;
2. Восстановление формы зуба
  • 98% случаев — композиты светового отверждения;
  • при маленьких дефектах возможен ICON;
  • для фиссур и шейки — специальные техники адгезии.

ЛЕЧЕНИЕ КАРИЕСА ПО КЛАССАМ БЛЭКА

I класс
01
Фиссурный кариес

Где возникает: моляры, премоляры, ямки резцов.
Особенность: поражение в труднодоступных участках.

Лечение: раскрытие фиссуры, тщательная очистка полости, жидкотекучий композит + основная реставрация. ICON возможен на ранней стадии.

II класс
02
Апроксимальные поверхности

Где возникает: между двумя жевательными зубами.
Особенность: скрытое течение, видно только на рентгене.

Лечение: доступ через жевательную поверхность, матрицы, клинья, послойное восстановление, тщательная полировка контакта.

III класс
03
Контактные поверхности передних зубов

Особенность: режущий край не повреждён.

Лечение: доступ со стороны нёба/языка, прозрачные матрицы, точное эстетическое моделирование. ICON подходит при ранних межзубных поражениях.

IV класс
04
Кариес с поражением угла и края

Особенность: разрушение угла резца, страдает эстетика и функция.

Лечение: сложная реставрация, многослойная техника, силиконовый ключ. ICON здесь не применяется.

V класс
05
Пришеечный кариес

Особенность: тонкая эмаль, близость к десне.

Лечение: коффердам, минимальное препарирование, текучие композиты, тщательная полировка. ICON подходит для поверхностных дефектов.

VI класс
06
Бугорки и режущий край

Особенность: поражение выступающих частей зуба.

Лечение: щадящее удаление кариеса, прочный композит, восстановление анатомии. Возможны микрошпонки или ретенционные элементы.

Как убрать кариес? — простое объяснение

1
Удаление тканей — бор, лазер или пескоструй.
2
Пломба — композит светового отверждения.
3
Полировка — защищает от повторного кариеса.
4
Контроль — контакт, анатомия, герметичность.

В чём смысл инноваций?

ICON — лечение начального кариеса без препарирования (I, II, III, V).
Лазер — бесшумный, безболезненный, стерилизует полость.
Пескоструйные системы — аккуратно удаляют поражённую эмаль, сохраняя здоровую.
Кариес развивается по-разному в зависимости от участка зуба. Именно поэтому классификация Блэка важна: каждый класс имеет свой собственный протокол лечения, направленный на сохранение максимального объёма здоровых тканей.

Можно ли полностью вылечить кариес?

🦷 Что происходит при кариесе

Кариес — это разрушение эмали и дентина под воздействием кислот, которые выделяют бактерии (главным образом Streptococcus mutans). Процесс начинается незаметно, но в итоге может привести к полости, боли и даже потере зуба.

💡 Можно ли вылечить кариес полностью?

Да — но важно понимать, что мы лечим не бактерии, а последствия их воздействия. При лечении стоматолог удаляет разрушённые ткани и восстанавливает зуб пломбой. Кариес, который уже сформировал дефект, «обратно» не зарастёт — но мы можем полностью остановить процесс и вернуть зубу здоровье.

📘 Все ли виды кариеса по Блэку лечатся одинаково?

Лечится любой кариес любого класса, но методика восстановления зависит от локализации:

  • I класс — чаще всего лечится легче всего: доступный участок, идеальная видимость.
  • II класс — сложнее: требуется восстановление контактного пункта, использование матриц и клиньев.
  • III класс — важна эстетика, подбираются прозрачные матрицы и цвета композита.
  • IV класс — одно из самых сложных лечений, т.к. нужно восстановить угол и режущий край.
  • V класс — пришеечная зона чувствительна к влаге, требуется коффердам и текучие композиты.
  • VI класс — бугорки и режущий край, зона высокой нагрузки: нужен особо прочный композит.

Таким образом, лечится всё — но сложность, техника и материалы сильно отличаются.

🧬 Возможно ли убрать саму причину кариеса?

Полностью избавиться от кариесогенных бактерий невозможно — они являются частью микрофлоры. Но можно снизить их активность и остановить разрушение эмали:

  • регулярная чистка и ирригация;
  • уменьшение сахара в рационе;
  • фторлаки и реминерализация;
  • профессиональная гигиена 2–3 раза в год;
  • ICON для ранних стадий без сверления.

✔ Итог: можно ли вылечить кариес?

Да — кариес любого класса по Блэку полностью лечится, если есть возможность удалить поражённые ткани и восстановить зуб анатомически. Но чтобы кариес не возвращался, важно соблюдать гигиену, делать профилактику и контролировать состояние зубов у стоматолога.

Как удаляют кариес: пошагово

🔍 1. Диагностика кариеса

Стоматолог проводит первичный осмотр, определяет глубину и локализацию поражения. Для разных классов по Блэку диагностика важна, так как кариес может быть скрытым между зубами (II класс) или располагаться в эстетичной зоне (III–IV классы).

📸 2. Рентген или КТ

Снимок помогает увидеть скрытые зоны: контактные поверхности, пришеечные участки, бугорки. Особенно важно при II и V классах — кариес там часто развивается незаметно.

💉 3. Местная анестезия

Современные анестетики делают лечение полностью комфортным. При поверхностном кариесе (начало I или V класса) иногда удаётся работать и без анестезии.

🦷 4. Удаление кариеса (препарирование)

С помощью бормашины, лазера или пескоструйной системы врач аккуратно удаляет только поражённые ткани. Объём препарирования зависит от класса кариеса:

  • I класс: раскрытие фиссуры;
  • II класс: доступ через жевательную поверхность для обработки контакта;
  • III–IV класс: доступ с нёбной/язычной стороны для сохранения эстетики;
  • V класс: щадящее препарирование пришеечной зоны;
  • VI класс: точечное удаление кариеса на бугорке или крае.

🔦 5. Контроль чистоты полости

После удаления кариеса стоматолог проверяет края эмали и дентин, чтобы убедиться, что инфицированные ткани устранены полностью. Это ключевой этап при II и IV классах, где кариес может распространяться под поверхностью.

🟦 6. Изоляция зуба коффердамом

Коффердам защищает зуб от слюны и создаёт идеальные условия для пломбирования. Особенно важен при V классе, где пришеечная зона чувствительна к влаге.

🧼 7. Обработка и подготовка полости

Включает промывание, обезжиривание, протравливание и нанесение адгезивной системы. Это необходимо для плотной адгезии композита и долговечности реставрации.

✨ 8. Восстановление зуба пломбой

Устанавливается композит светового отверждения, послойно моделируется анатомическая форма зуба. В IV и VI классах особое внимание уделяется точной передаче формы режущего края и бугорков.

🦷 9. Коррекция прикуса и проверка формы

Врач проверяет прикус, плотность контактов и форму пломбы. Особое значение это имеет при II классе — важно восстановить «точку контакта» между зубами.

✨ 10. Финальная полировка

Пломба шлифуется и полируется до гладкости. Это снижает риск повторного кариеса и обеспечивает естественный блеск.

✔ Итог: единый принцип лечения для всех классов

Алгоритм удаления кариеса всегда основан на одной логике: найти, обезболить, удалить только повреждённые ткани, изолировать, восстановить, отполировать.

Отличается лишь техника доступа и моделирования — в зависимости от класса Блэка. Но конечная цель всегда одна — здоровый, функциональный и эстетичный зуб.

Кариозные поражения зубов являются распространенной проблемой в стоматологии. Кариес начинает свое развитие с эмали зуба, в процессе которого бактерии, присутствующие в ротовой полости, образуют кислоты, разрушающие минералы эмали. На начальной стадии болезни могут появляться пятна на поверхности зубов, и, чаще всего, эти симптомы уловить можно раньше, чем развитие более серьезных поражений.

При появлении первых признаков кариеса важно обратиться к врачу стоматологу. Врач проведет осмотр полости рта, выявит стадию развития кариоза, а также определит необходимость использования анестезии в процессе лечения.

Лечение кариозных поражений включает в себя удаление пораженных тканей эмали и дентина. В зависимости от степени глубины поражения, врач может применять различные методики и композитные пломбы. Обработка кариозной полости проводится с использованием специальных препаратов, анестетиков и анестезии для устранения болевых ощущений у пациента.

Композитные пломбы имеют разные слои и цвета, что позволяет врачу подобрать наилучший вариант, сочетающийся с естественным цветом зубов. Эти пломбы также способствуют реминерализации зубных тканей, восстанавливая поверхность зуба после удаления пораженных участков.

Важным этапом в лечении кариоза является профилактика и регулярные приемы у стоматолога. Специалисты рекомендуют использование медицинских гелей, содержащих фтор, для укрепления эмали и предотвращения развития кариеса. Также регулярное употребление пищи с высоким содержанием кальция способствует укреплению зубов.

Необходимо отметить, что игнорирование проблемы может привести к осложнениям, таким как пульпит, воспаление мягких тканей и корневых каналов зуба. Врачи стоматологических клиник предостерегают от сильного болевого синдрома и рекомендуют обращаться за помощью при появлении даже слабых болевых ощущений в зубах.

Таким образом, важно поддерживать здоровье полости рта, регулярно проходя контроль у врача, следить за качеством пищи и применять современные методики лечения, включая композитные пломбы, для сохранения здоровья зубов и предотвращения развития кариеса.

Лечение кариеса , без "сверления"

Лечение кариеса без использования механического воздействия, такого как сверление, представляет собой сложную задачу. К сожалению, основная цель при устранении кариозного процесса заключается в удалении пораженных участков зуба, включая кариозный дентин и эмаль. Этот процесс может быть осуществлен только механическим путем с использованием специальных инструментов стоматолога.

Когда структуры зуба подвергаются серьезному кариозному повреждению, они становятся не поддающимися восстановлению. К сожалению, такие пораженные участки уже не могут быть восстановлены, и они остаются чужеродными для организма.

В данной ситуации важно провести лечение, направленное на удаление кариозных тканей, чтобы предотвратить дальнейшее распространение инфекции и сохранить здоровье соседних зубов. После иссечения пораженных участков может быть предложено использование различных методов восстановления, таких как пломбирование или другие современные стоматологические процедуры.

Несмотря на то, что механическое воздействие может быть необходимо для эффективного лечения кариеса, существуют новые технологии и методы, направленные на минимизацию дискомфорта и предоставление пациентам более мягких вариантов лечения. При этом важно обратиться к квалифицированному стоматологу, который сможет предложить наилучший вариант лечения в соответствии с индивидуальными потребностями и состоянием зубов пациента.

когда лечить кариес зубов?

Лечение кариеса должно начинаться как можно раньше и записаться на прием к стоматолгу терапевту, поскольку на ранней стадии заболевания его возможно более эффективно и менее инвазивно контролировать. Поверхностный кариес требует значительно меньше вмешательства в ткани зуба по сравнению с более глубокими стадиями. В случае отсроченного лечения, когда кариес продолжает прогрессировать, возрастает необходимость более радикальных методов, таких как пломбирование или даже корневое каналоведение.

Оперативное вмешательство на ранней стадии кариеса позволяет сохранить зубные ткани, минимизируя препарирование эмали и дентина. Это не только облегчает процесс лечения, но и снижает затраты на восстановление зуба. Важно понимать, что пропускание лечения на начальных стадиях может привести к серьезным осложнениям, таким как пульпит или даже потеря зуба.

Для раннего выявления кариеса и предотвращения его прогрессирования необходима регулярная диагностика. Использование современных технологий, таких как компьютерная томография, позволяет более точно определить степень поражения и выбрать оптимальные методы лечения. Ранняя диагностика дает возможность предпринять меры по сохранению здоровья зубов, уменьшая риск осложнений и облегчая процесс лечения. Важно отметить, что первичный прием в среднестатистической стоматологии обычно бесплатный.

Профилактика кариеса

В современной стоматологии важность профилактики кариеса зубов приобретает особую значимость. Профессиональный стоматолог, заботясь о здоровье пациента, предлагает комплекс услуг, направленных на предотвращение развития кариозных поражений.

Осмотр зубов врачом стоматологом является первым этапом в диагностике кариозных изменений. Даже небольшие изменения на поверхности эмали, такие как пятна или налет, могут свидетельствовать о начальном этапе заболевания. Раннее выявление кариозной полости позволяет применить методы профилактики и лечения на ранних стадиях развития.

Профилактика включает в себя регулярные процедуры чистки зубов, использование современных зубных щеток и мягких, но эффективных гелей. Специальные препараты, содержащие фтор, укрепляют твердые ткани зубов, предотвращая разрушение под действием кислот, образующихся от бактерий в полости рта.

Лечение кариозных поражений проводится врачом стоматологом с использованием современных методов, таких как пломбирование кариозной полости малоинвазивным методом, например ICON. Пломбы могут быть разных цветов и оттенков, в совокупности с обилимем материалов и методик, позволяет подобрать наилучший вариант, сочетающийся с естественным цветом зубов.

Большое внимание уделяется также профилактике осложнений, таких как пульпит, и использованию средств для реминерализации пораженных участков. Современные клиники предлагают широкий спектр услуг, включая химическое отбеливание, имплантацию, а также хирургические вмешательства.

Важно подчеркнуть, что профилактика кариеса начинается с домашних условий. Соблюдение правил гигиены, регулярные посещения врача стоматолога и сбалансированное питание – все это содействует поддержанию здоровья зубов на высоком уровне.

Таким образом, профилактика кариеса зубов – это многоступенчатый процесс, включающий в себя осмотр, диагностику, профилактику и лечение. Своевременные меры позволяют поддерживать зубы в здоровом состоянии, предотвращая развитие кариеса и его осложнений.

Борьба с кариесом

Борьба с кариесом включает в себя целый комплекс мер, начиная от профилактики и заканчивая регулярными визитами к стоматологу. Важно осознавать, что забота о зубах начинается с повседневной гигиеничной практики.

Одним из ключевых факторов в предотвращении кариеса является правильное и регулярное очищение зубов. Это помогает удалять бактерии с поверхности эмали, препятствуя их размножению в полости рта. Использование специальных паст и гелей, содержащих противокариесные препараты, укрепляет эмаль и снижает риск образования кариозных очагов.

Здоровое питание также играет важную роль в профилактике кариеса. Ограничение употребления сладких и кислых продуктов снижает воздействие кислот на зубы, что способствует сохранению здоровья эмали и предотвращению повреждения тканей.

Регулярные посещения стоматолога необходимы для раннего выявления дефектов и профессионального обезболивания поврежденного эмалевого слоя. Специалисты стоматологических клиник проводят реставрацию поверхностных дефектов с использованием современных материалов и технологий.

Важным фактором в предотвращении кариеса является также использование специальных гелей и паст с фтором. Этот компонент укрепляет эмаль и способствует ее восстановлению после воздействия кислот.

Необходимо подчеркнуть, что профилактика кариеса включает в себя множество аспектов, начиная от правильной гигиены и заканчивая регулярными посещениями врача. Соблюдение этих мер помогает предотвратить развитие кариозных процессов, снизить риск образования больших очагов инфекции, и, в итоге, сохранить здоровье зубов и полости рта в целом.

надо ли лечить кариес?

Лечение кариеса является крайне важным этапом в поддержании здоровья полости рта и предотвращении серьезных осложнений. Несмотря на высокий резерв организма, кариозный процесс, если не подвергнуть его лечению, может привести к серьезным последствиям.

Начиная с кариозного поражения эмали, процесс может постепенно прогрессировать, затрагивая более глубокие слои зуба. Когда кариес достигает дентина, возникает риск воспаления нерва – пульпита. Недостаточное лечение на этой стадии может привести к развитию периодонтита, что представляет серьезную угрозу для зуба и окружающих тканей.

Даже если кариес продолжает свое разрушительное воздействие без заметных симптомов, со временем начинают проявляться проблемы с приемом пищи. Болевые ощущения и дискомфорт становятся неотъемлемой частью повседневной жизни. Кроме того, потеря зубов ведет к изменению внешнего вида лица и снижению высоты нижней трети лица. Человек начинает выглядеть старше, чем на самом деле.

Таким образом, лечить кариеса необходимо не только для сохранения функциональности зубов, но и для предотвращения эстетических и здоровьесберегающих проблем в будущем. Раннее обращение к стоматологу и профессиональное лечение кариеса помогут поддерживать здоровье улыбки и предотвращать серьезные осложнения.

Статья проверена

Стаж работы с 2006 года
Соискатель ученой степени К.М.Н.
Специализация: терапия и эндодонтия 

Кузнецова Елена Борисовна

врач стоматолог-терапевт

записаться на прием

Часто задаваемые вопросы

Какие причины возникновения кариеса?

Кариес образуется из-за бактерий, которые находятся в ротовой полости и разрушают эмаль зубов. Он может также быть вызван неправильным питанием, недостатком гигиены полости рта и наличием других заболеваний.

Какие симптомы может испытывать пациент при наличии кариеса?

Симптомы кариеса могут включать в себя чувствительность зубов к холоду и теплу, боли в зубах, появление кариозных полостей и пятен на зубах.

Какие стоматологические процедуры могут помочь в лечении кариеса?

Для лечения кариеса стоматолог может проводить различные процедуры, включая препарирование зуба с помощью бормашин, полировку, удаление фиссурного кариеса, реминерализацию, "пломбировочное" лечение и корневое лечение.

Какие методы обезболивания используются во время лечения кариеса?

Для обезболивания при лечении кариеса могут использоваться различные методы, включая наркоз, седация и обезболивающие препараты.

Как проводится профилактика кариеса?

Для профилактики кариеса необходимо правильно ухаживать за полостью рта, использовать фторированную зубную пасту, регулярно посещать гигиениста и стоматолога, а также правильно питаться.

Какую роль играет пародонтология в лечении кариеса?

Пародонтология может быть важной частью лечения кариеса, так как она может помочь предотвратить или лечить осложнения, связанные с кариесом, такие как пародонтоз. Пародонтолог может предложить различные методы лечения, включая хирургические процедуры и медикаментозную терапию, для борьбы с хроническим пародонтитом и другими проблемами пародонта.

Какие могут быть осложнения при лечении кариеса?

Осложнения при лечении кариеса могут включать чувствительность, образование фиссур и другие неприятные симптомы. В редких случаях могут возникнуть серьезные осложнения, такие как инфекции и повреждения корневых каналов, которые могут потребовать дополнительной хирургической или медикаментозной терапии. 
КОНТАКТЫ

ТЕЛЕФОН:
+7 (495) 021-90-60
АДРЕС:
г. Москва Садовая-Черногрязская 11/2