Реставрация зубов – это важный этап в современной стоматологии, направленный на восстановление зубов, повреждённых по различным причинам: от кариеса и его осложнений до повышенной стираемости эмали или травм. Она позволяет вернуть зубам их естественную форму, функцию и эстетичный внешний вид, что оказывает значительное влияние не только на здоровье полости рта, но и на качество жизни человека.

Современные методы реставрации предлагают пациентам широкий выбор решений, которые можно разделить на две основные категории. Это композитные реставрации, где используются пломбировочные материалы для восстановления утраченной ткани зуба, и протезирование, включающее конструкции из керамики или диоксида циркония. Эти подходы отличаются не только высокой прочностью и долговечностью, но и эстетическими характеристиками, которые позволяют добиться естественного внешнего вида зубов.

В этой статье мы подробно рассмотрим все аспекты реставрации зубов – от причин повреждений и принципов выбора метода восстановления до технологий, материалов и нюансов ухода за восстановленными зубами. Узнайте, как современные подходы в стоматологии помогают вернуть не только здоровье, но и уверенность в своей улыбке.

Прямые и непрямые реставрации зубов: основные отличия

Прямые реставрации выполняются за один визит к стоматологу с использованием пломбировочного материала (композитов). Они подходят для небольших дефектов и требуют минимального вмешательства.

Непрямые реставрации включают виниры, накладки (они), вкладки и коронки, которые изготавливаются в лаборатории. Их используют для восстановления больших разрушений зубов или значительных эстетических дефектов.

Выбор метода зависит от объёма повреждения, функциональных задач и пожеланий пациента.

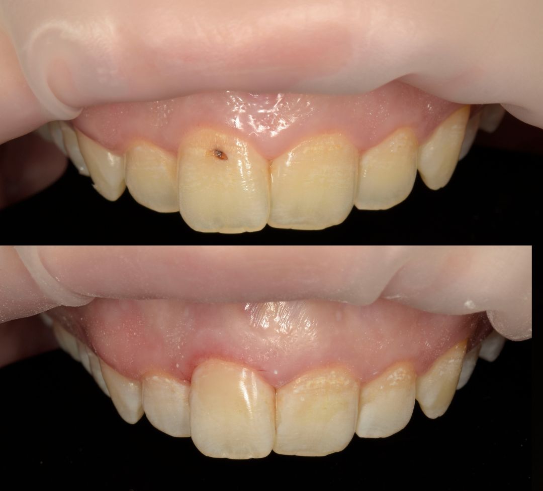
прямая реставрация зубов композитной пломбой

Композитные пломбы: эстетика и функциональность в современной стоматологии

Композитные пломбы – это наиболее популярный вид пломбировочного материала, который сегодня используется в стоматологической практике. На их долю приходится около 99% всех установленных пломб, что делает их стандартом восстановления повреждённых зубов.

Главное преимущество композитных пломб – их способность идеально имитировать естественный цвет зуба. Материал легко формируется и поддаётся полировке, что позволяет добиться высокого уровня эстетичности. Кроме того, композитные пломбы безопасны для здоровья, так как не содержат тяжёлых металлов, например, ртути, что особенно важно для пациентов с повышенной чувствительностью.

Среди других плюсов композитов – их улучшенная прочность и долговечность. Современные материалы способны выдерживать значительные нагрузки, обеспечивая надёжность пломбы на протяжении долгого времени. Ещё одно важное достоинство – щадящий подход к здоровым тканям зуба: для установки композитной пломбы требуется минимальное вмешательство, в отличие от амальгамных или цементных вариантов.

Однако не все композитные материалы универсальны. Для различных клинических ситуаций существуют специализированные виды композитов:

Для жевательных зубов: используются более прочные материалы, которые выдерживают значительные нагрузки.
Для зубов вблизи десны: подбираются материалы с минимальной усадкой, чтобы избежать нежелательных изменений формы и обеспечить точность прилегания.
Для передних зубов: применяются композиты с улучшенными эстетическими характеристиками, которые легко полируются для безупречной внешности.
Каждый случай реставрации зубов индивидуален, и выбор подходящей пломбы зависит от множества факторов: локализации повреждения, степени разрушения, функциональной нагрузки и эстетических требований. Обсуждение всех вариантов с врачом позволит подобрать решение, которое обеспечит долговечность, здоровье и естественный вид вашей улыбки.

Показания к реставрации зубов композитными материалами

Композитные материалы являются универсальным и востребованным решением в современной стоматологии. Их применение охватывает широкий спектр клинических ситуаций, при которых требуется восстановление формы, функции и эстетики зуба. Основным критерием для выбора композитной реставрации является объем поражения зуба: данный метод оптимален, если дефект составляет менее 50% от общего объема зуба.

Когда применяются композитные реставрации?

  • Кариозные поражения зубов
Композитные материалы идеально подходят для лечения практически всех кариозных дефектов, включая:

  • Поверхностный кариес, который затрагивает только эмаль.
  • Средний и глубокий кариес, при котором восстанавливается как эмаль, так и слой дентина.
Благодаря щадящей технике реставрации сохраняется максимальное количество здоровых тканей зуба.


Некариозные поражения

  • Сколы и трещины зубов, возникшие в результате травмы или повышенной нагрузки.
  • Клиновидные дефекты, вызванные стиранием эмали или неправильной гигиеной.
  • Эрозия и деминерализация зубной поверхности.
  • Эстетические показания
Композитные реставрации незаменимы при восстановлении эстетики передних зубов:

  • Коррекция формы зуба (например, устранение асимметрии или уменьшение диастемы).
  • Изменение оттенка зуба для устранения локальных участков потемнения или пятен.
Функциональные дефекты

  • Восстановление жевательной функции при утрате участков эмали и дентина на коронке.
  • Устранение повышенной стираемости зубов у пациентов с неправильным прикусом или бруксизмом.
Возможности композитных материалов
Композитные материалы позволяют восстанавливать любую поверхность зуба, в том числе:

  • Жевательные поверхности: обеспечивают устойчивость к механическим нагрузкам при пережевывании пищи.
  • Боковые поверхности: восстанавливают контактные точки между зубами, предотвращая развитие вторичного кариеса и нарушений прикуса.
  • Передние поверхности: идеально подходят для создания эстетичной улыбки, поскольку композиты обладают высокой степенью светопропускания, имитируя натуральную эмаль.
Почему выбирают композитные реставрации?
  • Щадящее вмешательство: композитные материалы требуют минимального удаления здоровых тканей зуба.
  • Высокая эстетика: благодаря широкой цветовой гамме и отличной полируемости композиты обеспечивают естественный вид реставрации.
  • Универсальность: материал легко адаптируется к разным клиническим ситуациям и подходит для восстановления как передних, так и жевательных зубов.
  • Функциональность: современные композиты обладают достаточной прочностью для длительного сохранения результата, даже при высоких нагрузках.
Итог
Реставрация зубов композитными материалами – это универсальное решение, которое позволяет устранить как функциональные, так и эстетические дефекты. Подходящую методику и вид материала выбирает стоматолог, учитывая расположение зуба, величину поражения и индивидуальные потребности пациента. Правильно выполненная композитная реставрация обеспечивает не только долговечность и комфорт, но и здоровую, красивую улыбку.

про композитные пломбы

В итоге, хотя бренды и фирмы композитных пломб могут незначительно отличаться, гораздо важнее соблюдать правильный протокол лечения, изоляцию полости, грамотное препарирование полости, хороший бондинг, использование удобных инструментов, оптики или бинокуляров, качественную моделировку пломбы и полировку. Только при соблюдении всех этих пунктов можно обеспечить долговечность и эффективность пломбы. В конечном итоге, качество работы врача и процесс лечения играют более важную роль, чем бренд или фирма пломбы.

Современные стоматологические адгезивы и современные композитные пломбы разительно изменили природу реставрационной стоматологии, десятилетие проведения стоматологических реставраций путем механической ретенции и использования цементов отступили перед новой эрой композитных материалов которые дают возможность стоматологу использовать приближённые к тканям зуба материалы, для восстановления улыбки более консервативным методом. Преимущества этой методики для пациента огромны менее инвазивные процедуры, консервативное препарирование зуба и сохранения большего количества здоровой ткани, меньше дискомфорта, более эстетичные реставрации и крепкие зубы - это направление продолжает развиваться с каждым днем, создаются еще более совершенные материалы, которые упрощают применение и лечение гарантируя при этом оптимальные результаты.

цена композитной реставрации зубов

Услуга Примерная цена (₽) Комментарии
Осмотр, консультация и диагностика 1 000 – 3 000 Может включать внутриротовую камеру и рентген.
Рентген (прицельный снимок) 500 – 1 500 Для уточнения состояния зуба.
Установка коффердама 1 000 – 2 000 Дополнительная услуга для качественной изоляции.
Удаление старой пломбы или кариеса 1 500 – 3 000 Зависит от объема повреждения.
Композитная реставрация небольшого дефекта 4 000 – 6 000 Восстановление плоских поверхностей, например, режущего края.
Композитная реставрация среднего дефекта 7 000 – 10 000 Восстановление части коронки зуба.
Композитная реставрация большого дефекта 10 000 – 15 000 Включает послойное моделирование и работу с жевательными зубами.
Полировка и финишная обработка реставрации 1 000 – 2 000 Дополняет эстетический результат.
Коррекция реставрации прикуса (окклюзии) Включено в стоимость реставрации Осуществляется по необходимости.

Этапы восстановления зуба композитной реставрацией

Диагностика:

На этом этапе врач проводит тщательное обследование зуба:

  • Осмотр ротовой полости, часто с использованием внутриротовой камеры, что позволяет пациенту увидеть состояние зуба.
  • Выполняется рентгеновский снимок или, в идеале, КЛКТ (конусно-лучевая компьютерная томография) для оценки глубины поражения и состояния окружающих тканей.
На основе полученных данных составляется план лечения, учитывающий объем повреждений и эстетические требования.

Анестезия и подбор цвета:

  • Для обеспечения безболезненности процедуры врач проводит местное обезболивание. Анестезия особенно важна при работе с глубокими кариозными поражениями.
  • С помощью шкалы оттенков и специального прибора (например, спектрофотометра) определяется цвет реставрации. Это помогает добиться идеального совпадения с соседними зубами.

Изоляция зуба:

  • Устанавливается коффердам (латексный платок), который изолирует зуб от слюны и влаги.
  • Использование коффердама важно для качественного сцепления композита с зубной поверхностью, так как влага может ухудшить адгезию и сократить срок службы реставрации.

Удаление повреждений:

  • Удаляются поражённые кариесом ткани или старая пломба.
  • Врач работает тщательно, чтобы сохранить здоровую ткань зуба и одновременно полностью устранить все повреждения.

Подготовка поверхности:

  • Зубная поверхность обрабатывается борами для устранения неровностей и подготовки к следующему этапу.
  • Затем применяется пескоструйный аппарат с частицами оксида алюминия размером 27 микрон. Этот процесс очищает зуб от налёта, микрочастиц и делает поверхность слегка шероховатой для лучшей адгезии.

Протравливание эмали (etching):

  • Наносится специальный протравочный гель, содержащий кислоту.
  • Гель создает микрошероховатость на поверхности эмали, увеличивая площадь контакта и улучшая сцепление композита с зубной тканью.
  • Затем гель смывается водой, и зуб подсушивается.

Нанесение бондинга:

  • На подготовленную поверхность наносится связывающий компонент — бонд (бондинг).
  • Бондинг проникает в микропоры эмали и дентина, создаёт адгезивный слой между зубом и композитом.
  • Врач полимеризует бонд под действием светодиодной лампы, обеспечивая прочное соединение.

Послойное нанесение композита:

  • Врач наносит композитный материал слоями. Каждый слой моделируется для создания анатомической формы зуба и затем засвечивается лампой.
  • Используются композиты разной прозрачности и оттенков, что позволяет максимально точно имитировать структуру натурального зуба, включая цвет эмали и дентина.
  • Для сложных случаев могут применяться специальные художественные техники, такие как добавление тонов, чтобы добиться реалистичности.

Финишная обработка и полировка:

  • После завершения реставрации врач обрабатывает поверхность с помощью алмазных боров и полировочных инструментов.
  • Поверхность шлифуется и полируется до зеркального блеска, чтобы обеспечить эстетичный вид и комфорт для пациента.

Проверка прикуса:

  • С помощью окклюзионной бумаги врач проверяет, не мешает ли реставрация прикусу.
  • При необходимости проводится коррекция, чтобы устранить избыточное давление на восстановленный зуб.

плюсы и минусы композитной реставрации зубов

Преимущества Недостатки
Быстрота выполнения: реставрация выполняется за 1 визит. Меньшая прочность: по сравнению с керамическими реставрациями.
Эстетика: современный композит позволяет точно подобрать цвет. Износ: быстрее теряет блеск и может стираться со временем.
Минимальное вмешательство: требуется меньше обработки зуба. Чувствительность: возможна повышенная чувствительность после процедуры.
Доступная стоимость: более экономичный вариант лечения. Влияние влаги: при недостаточной изоляции качество адгезии снижается.
Универсальность: подходит для большинства дефектов небольшого и среднего размера. Усадка материала: может привести к микроподтеканию или чувствительности.
Ремонтопригодность: можно легко исправить или дополнить реставрацию. Ограничения по размерам дефекта: не рекомендуется для больших разрушений.

Непрямая реставрация зуба — это метод восстановления зубов с использованием индивидуально изготовленных конструкций, таких как коронки, виниры или накладки (инлеи и онлеи), которые создаются вне полости рта, обычно в зуботехнической лаборатории. Эти конструкции выполняются из прочных и эстетически совершенных материалов, таких как керамика или композит, и затем фиксируются на подготовленный зуб с помощью специальных цементов.

Такой способ реставрации используется для восстановления зубов при значительных повреждениях или для улучшения их эстетики, обеспечивая высокую прочность, точность прилегания и долговечность результата.

реставрация зубов керамическими накладками 

В стоматологии очень важно делать пломбы по показаниям. Если зуб имеет небольшой кариозный дефект, то можно применить композитную пломбу. Она имеет эстетически привлекательный вид, хорошо полируется и служит достаточно долго. Однако, если кариозный дефект занимает более 50% поверхности зуба, то композитная пломба может оказаться недостаточно прочной и быстро изнашиваться.

В таком случае, рекомендуется изготовление керамической накладки. Это очень прочный материал, который не стирается и не меняет форму. Керамическая накладка имеет более длительный срок службы, чем композитная пломба, и может прослужить более 10 лет.

Однако, перед изготовлением керамической накладки необходимо провести тщательный анализ состояния зуба и его окружающих тканей. Врач должен убедиться, что зуб и его корни здоровы, и только после этого можно приступать к процедуре изготовления керамической накладки.

Ранее, изготовление керамической накладки требовало нескольких посещений стоматолога и процесс был достаточно длительным и неудобным для пациента. Однако, современные технологии и наличие сканеров и фрезеров в клиниках позволяют изготавливать керамические накладки быстрее и более удобно для пациента. Теперь процесс изготовления керамической накладки может быть завершен за одно посещение, что значительно экономит время и удобнее для пациента. Более того, изготовленные таким образом накладки имеют высокую точность и качество, что обеспечивает прочность и долговечность конструкции, что делает керамическую накладку еще более привлекательной и востребованной.

Например в клинике Dental Opera керамическая накладка может быть изготовлена за одно посещение.

реставрация передних зубов


Реставрация передних зубов — это процесс, требующий особого внимания к эстетике и точности, так как эти зубы находятся на виду и играют ключевую роль в формировании улыбки. Особое внимание уделяется выбору материала для реставрации, так как он должен максимально имитировать натуральный зуб, не только по форме, но и по оттенку, прозрачности и текстуре.

Одним из самых важных аспектов при реставрации передних зубов является правильный подбор оттенка композита. Композитный материал должен быть тщательно подобран по цвету, чтобы реставрация гармонировала с остальными зубами пациента, создавая естественный и эстетичный вид. При этом необходимо учитывать не только основной цвет зубов, но и его интенсивность, что достигается с помощью многослойного нанесения различных оттенков материала.

Для достижения идеального результата, композит может наноситься прозрачно, что помогает создать эффект естественного перелива и прозрачности, характерной для настоящего зуба. Прозрачность особенно важна при реставрации передних зубов, так как она имитирует естественные световые эффекты, свойственные эмали, и позволяет результату выглядеть максимально естественно. Техника нанесения материала в несколько слоев, с тонким градиентом от более прозрачного к более плотному, помогает точно воспроизвести все нюансы природного цвета зуба и его прозрачности.

Также важным аспектом является создание формы зуба. Для этого используется высокая точность и внимание к деталям: реставратор должен не только следить за оттенками, но и за симметрией, контуром зуба и его соотношением с соседними зубами. Качество работы на этом этапе напрямую влияет на внешний вид всей улыбки.

Таким образом, реставрация передних зубов — это не только восстановление функциональности зуба, но и творческий процесс, где главную роль играет внимание к нюансам оттенка и прозрачности материала, что позволяет создать идеальную улыбку, которая будет выглядеть максимально естественно.

реставрация жевательных зубов

Реставрация жевательных зубов — это важная часть стоматологической практики, которая требует от врача высокого уровня профессионализма, так как при восстановлении жевательных зубов необходимо учитывать как функциональные, так и эстетические особенности. В этом случае важно точно оценить степень разрушения зуба, чтобы выбрать оптимальный метод реставрации.

Если объём разрушения жевательного зуба составляет менее 50%, то врач обычно использует специальные прочные композиты, которые обладают высокой стойкостью к нагрузкам и износу, что делает их идеальными для работы в зоне жевательных зубов. Эти материалы позволяют восстановить не только форму зуба, но и его функцию, обеспечивая долговечность реставрации. Прочность композитов, используемых в данной области, важна для того, чтобы зуб мог справляться с жевательными нагрузками без риска повреждения.

Кроме того, важным аспектом реставрации жевательных зубов является правильное восстановление их анатомии. Анатомия жевательных зубов довольно сложная, и врач должен иметь навыки точного воспроизведения контуров зуба, включая жевательную поверхность с бугорками и ямками, которые необходимы для нормальной функции при жевании пищи. Важно не только вернуть зубу его первоначальный вид, но и обеспечить комфорт пациента при пережевывании пищи, избегая нарушения прикуса и избыточных нагрузок на соседние зубы.

Если объём разрушения жевательного зуба превышает 50%, то использование композитных материалов может быть не столь эффективным, так как нагрузка на зуб будет слишком велика, и реставрация может не выдержать эксплуатации. В таких случаях врач обычно рекомендует восстановление зуба с использованием керамической накладки или керамической коронки. Керамика обладает высокой прочностью и долговечностью, а также прекрасно имитирует натуральную эмаль, что позволяет восстановить зуб не только с функциональной точки зрения, но и с эстетической. Керамические накладки и коронки идеально подходят для восстановления зубов с более серьёзным разрушением, так как они обеспечивают не только прочность, но и сохранение естественного внешнего вида зуба.

Таким образом, выбор метода реставрации жевательных зубов зависит от степени разрушения и функциональных требований. Важно, чтобы врач правильно оценил объём разрушения и выбрал наилучший материал и технику для восстановления зуба, что обеспечит долговечность и эффективность лечения.

Реставрация зубов керамическими винирами

Керамические виниры – это один из самых популярных и эстетически совершенных методов реставрации зубов в современной стоматологии. Эти ультратонкие накладки из высококачественной керамики позволяют восстановить естественный внешний вид зубов, скрыть дефекты и создать безупречную улыбку.

Что такое керамические виниры?
Керамические виниры представляют собой тонкие пластинки, которые фиксируются на переднюю поверхность зубов. Они изготавливаются индивидуально для каждого пациента, с учётом формы, размера и оттенка натуральных зубов. Этот подход позволяет добиться максимальной естественности и гармонии улыбки.

Показания к установке керамических виниров

Эстетические проблемы:

  • Потемнение эмали, не поддающееся отбеливанию.
  • Неравномерный цвет зубов или пятна, вызванные флюорозом или другими причинами.
  • Изменение формы зубов (короткие, неровные, асимметричные).
  • Диастема (щель между зубами) или другие дефекты положения зубов, которые можно скорректировать без ортодонтического лечения.

Механические повреждения:

  • Сколы и трещины, которые не требуют значительного восстановления структуры зуба.
  • Повышенная стираемость эмали.

Коррекция улыбки:

Виниры часто используют для полной трансформации улыбки, чтобы создать идеальную форму, цвет и расположение зубов в зоне улыбки.

Преимущества керамических виниров

Идеальная эстетика:

Керамика обладает уникальными оптическими свойствами, близкими к натуральной эмали. Она пропускает и отражает свет, создавая эффект естественной прозрачности и блеска.

Долговечность:

Современные керамические материалы отличаются высокой прочностью и устойчивостью к истиранию. При правильном уходе виниры служат 10–15 лет и дольше.

Сохранение структуры зуба:

Установка виниров требует минимального препарирования передней поверхности зуба, что делает их более щадящим методом по сравнению с коронками.

Устойчивость к окрашиванию:

Керамика не впитывает пигменты, поэтому виниры сохраняют свой первоначальный цвет даже при употреблении красящих продуктов, таких как кофе, чай или красное вино.

Быстрота результата:

В отличие от ортодонтического лечения, которое занимает месяцы или годы, виниры позволяют получить желаемую улыбку всего за несколько визитов к стоматологу.

Процесс установки керамических реставраций

Консультация и диагностика
Первым и важнейшим этапом является консультация с врачом-стоматологом, в ходе которой оценивается, насколько установка виниров подходит для решения конкретных эстетических и функциональных задач пациента. Этот этап включает:

  • Осмотр полости рта: врач оценивает состояние зубов, десен и прикуса, выявляет возможные противопоказания.
  • Фото- и видеодиагностика: делаются снимки зубов и улыбки для более детального анализа и обсуждения результатов.
  • Цифровое моделирование: создаётся 3D-модель будущей улыбки с учётом индивидуальных особенностей пациента, что позволяет заранее увидеть предполагаемый результат.
Подготовка зубов
Для установки виниров передняя поверхность зуба подвергается минимальной обработке (препарированию). Этот процесс включает:

  • Удаление слоя эмали толщиной 0,3–0,7 мм: достаточно для фиксации винира, не затрагивая глубокие ткани зуба.
  • Сохранение структуры зуба: процедура щадящая и максимально безопасная.
  • Для контроля глубины препарирования при обточке зубов под виниры рекомендуется использовать стоматологический микроскоп или индивидуальные увеличительные бинокуляры. Эти оптические инструменты позволяют врачу работать с высокой точностью, минимизируя удаление тканей зуба. Такой подход обеспечивает щадящую обработку, сохраняет максимальное количество здоровой эмали и помогает создать идеальные условия для последующей фиксации виниров.
Снятие слепков
После препарирования снимаются точные слепки зубов, которые затем передаются в зуботехническую лабораторию. Благодаря современным технологиям, таким как CAD/CAM (компьютерное моделирование и изготовление протезов), достигается:

  • Исключительная точность посадки виниров.
  • Высокая эстетика, имитирующая натуральные зубы.
Установка временных виниров
На время изготовления постоянных виниров пациенту устанавливаются временные накладки. Они выполняют несколько функций:

  • Защита зубов: от воздействия внешних факторов.
  • Оценка эстетики: пациент может привыкнуть к новому внешнему виду и внести коррективы при необходимости.
  • Временные виниры изготавливаются из специальной пластмассы, которая изначально находится в пластичном состоянии, что позволяет легко адаптировать её к зубам пациента. Для достижения идеальной формы используется силиконовый ключ, заранее созданный на основе модели будущих виниров. Пластмасса равномерно распределяется внутри ключа, который затем аккуратно помещается в полость рта. Благодаря точной форме ключа материал принимает форму, полностью соответствующую будущим постоянным винирам.

    Когда ключ с пластмассой устанавливается на зубы, материал затвердевает прямо во рту, что обеспечивает надёжную фиксацию и точное прилегание. Процесс затвердевания проходит быстро, после чего временные виниры приобретают прочность и сохраняют заданные контуры. Такой подход не только защищает зубы на время изготовления постоянных реставраций, но и позволяет пациенту адаптироваться к изменённому внешнему виду, оценить форму и эстетику будущей улыбки.
Фиксация виниров
Когда постоянные виниры готовы, происходит их окончательная установка:

  • Примерка: врач проверяет, как виниры подходят по форме, цвету и посадке.
  • Фиксация: виниры закрепляются с использованием специального цемента, обеспечивающего надёжное прилегание.
  • При фиксации виниров важно строго соблюдать сухость операционного поля, что достигается наложением коффердама. Это изолирует зубы от влаги, обеспечивая оптимальные условия для адгезии и предотвращая возможное нарушение фиксации.

    Для достижения надёжного и долговечного результата рекомендуется использовать бондинги и цементы высокого качества. Среди лучших материалов выделяются такие системы, как Variolink, Nexus 3, а также универсальные цементы от Bisco Universal. Эти материалы обладают превосходными характеристиками по прочности, эстетике и долговечности, что позволяет достичь максимально качественной фиксации виниров.
  • Коррекция: после фиксации проводится проверка прикуса и при необходимости корректировка.
Результатом становится красивая, естественная улыбка, которая отвечает как эстетическим, так и функциональным требованиям.

Плюсы и минусы использования керамических виниров
Плюсы Минусы
Высокая эстетика: керамические виниры максимально точно имитируют натуральный зуб по цвету, текстуре и прозрачности. Высокая стоимость: керамические виниры дороже, чем композитные аналоги.
Долговечность: при правильном уходе срок службы составляет 10–15 лет и более. Необратимость: для установки требуется снятие слоя эмали, что делает процедуру необратимой.
Устойчивость к окрашиванию: керамика не впитывает пигменты из пищи и напитков, сохраняя цвет. Требовательность к профессионализму: установка требует высокой квалификации врача и точности технологий.
Биосовместимость: материал безопасен для десен и тканей зуба, не вызывает аллергии. Трудности с ремонтом: при повреждении винира его замена требует полного изготовления новой конструкции.
Минимальное воздействие на окружающие ткани: виниры позволяют сохранить здоровье соседних зубов. Длительность процедуры: процесс требует нескольких визитов (диагностика, подготовка, изготовление, установка).
Исправление эстетических дефектов: закрывают щели, трещины, исправляют форму и цвет зубов. Не подходит для всех случаев: противопоказан при серьёзных повреждениях зубов или заболеваниях десен.

уход за керамической реставрацией

Уход за керамическими винирами
Для сохранения долговечности и красоты виниров необходимо придерживаться простых правил:

  • Регулярно чистить зубы мягкой щёткой и неабразивной пастой.
  • Избегать чрезмерной нагрузки на зубы (например, не открывать бутылки или орехи зубами).
  • Регулярно посещать стоматолога для профилактических осмотров и профессиональной гигиены.
Ограничения и возможные альтернативы
Несмотря на множество преимуществ, керамические виниры не подходят для пациентов с серьёзными повреждениями зубов или заболеваниями десен. В таких случаях врач может предложить альтернативные методы, такие как коронки или имплантация зубов.

Заключение
Керамические виниры – это идеальный способ добиться естественной, красивой улыбки с минимальным вмешательством в структуру зубов. Они не только решают эстетические проблемы, но и позволяют надолго сохранить здоровье зубов. Этот метод является выбором миллионов людей по всему миру, стремящихся к совершенству и уверенности в своей улыбке.

Восстановление зубов керамическими реставрациями: коронки e.max

Восстановление зубов керамическими реставрациями: коронки e.max

Современные технологии в стоматологии предоставляют возможность восстанавливать зубы с высочайшим уровнем эстетики, прочности и функциональности. Одним из наиболее востребованных решений являются керамические реставрации на основе материала e.max. Этот инновационный подход позволяет вернуть зубам их естественный вид и надежность, обеспечивая долговечный результат.

Что такое e.max?
Керамика e.max – это современный стоматологический материал, изготовленный из лития-дисиликата. Он сочетает в себе уникальные свойства:

  • Высокая прочность: материал выдерживает нагрузки до 400 МПа, что делает его устойчивым даже для восстановления жевательных зубов.
  • Эстетика премиум-класса: керамика имеет отличные светопропускные свойства, что позволяет идеально имитировать натуральную эмаль.
  • Долговечность: благодаря устойчивости к истиранию и внешним воздействиям, такие реставрации служат от 10 лет и дольше при правильном уходе.
  • Коронки e.max применяются для восстановления повреждённых или разрушенных зубов, возвращая им анатомическую форму, цвет и функциональность.

Показания к установке коронок e.max
Коронки e.max подходят для решения широкого спектра стоматологических проблем, включая:

  • Серьёзные разрушения зубов: когда пломбы или частичные реставрации уже не обеспечивают достаточной прочности.
  • Эстетические дефекты: потемнение эмали, выраженные сколы, изменения формы или размера зубов.
  • Лечение зубов после эндодонтии: установка коронок после лечения корневых каналов для защиты ослабленного зуба.
  • Восстановление жевательных зубов: материал подходит даже для зон с высокой функциональной нагрузкой благодаря своей прочности.
  • Протезирование на имплантатах: коронки e.max могут использоваться в качестве финального этапа имплантации зубов.
Преимущества коронок e.max
  • Непревзойдённая эстетика:
Материал позволяет воссоздать зуб с максимальной точностью, включая цвет, прозрачность и структуру натуральной эмали. Особенно это важно при восстановлении зубов в зоне улыбки.

  • Универсальность:
Коронки e.max подходят как для передних, так и для жевательных зубов. Они могут быть использованы как самостоятельное решение или в сочетании с другими видами протезирования.

  • Минимальное препарирование:
Для установки e.max-коронок требуется снять лишь минимальный слой тканей зуба, что делает процедуру максимально щадящей.

  • Биосовместимость:
Материал абсолютно безопасен, не вызывает аллергических реакций и взаимодействует с тканями полости рта, не раздражая десну.

  • Долговечность:
Устойчивость к истиранию и нагрузкам обеспечивает долговременную эксплуатацию коронок даже в условиях активного жевания.

Процесс установки коронок e.max
  1. Консультация и планирование:
На первом этапе стоматолог оценивает состояние зуба, делает рентген или компьютерную томографию для диагностики. Затем разрабатывается план лечения и подбирается оттенок будущей коронки.

     2.Подготовка зуба:
Поверхность зуба препарируется для установки коронки. Если зуб разрушен значительно, может потребоваться укрепление штифтом или культевой вкладкой.

     3.Cнятие слепков:
Слепки или 3D-сканирование отправляются в зуботехническую лабораторию, где с помощью технологии CAD/CAM создаётся индивидуальная коронка.

    4.Установка временной коронки:
На время изготовления постоянной реставрации пациенту устанавливается временная коронка для защиты зуба.

Временные коронки изготавливаются из специальной пластмассы, которая изначально находится в пластичном состоянии, что позволяет легко адаптировать её к зубам пациента. Для достижения идеальной формы используется силиконовый ключ, заранее созданный на основе модели будущих коронок. Пластмасса равномерно распределяется внутри ключа, который затем аккуратно помещается в полость рта. Благодаря точной форме ключа материал принимает форму, полностью соответствующую будущим постоянным коронкам.

Когда ключ с пластмассой устанавливается на зубы, материал затвердевает прямо во рту, что обеспечивает надёжную фиксацию и точное прилегание. Процесс затвердевания проходит быстро, после чего временные коронки приобретают прочность и сохраняют заданные контуры. Такой подход не только защищает зубы на время изготовления постоянных реставраций, но и позволяет пациенту адаптироваться к новым функциональным и эстетическим характеристикам.

    5.Фиксация коронки:
Готовая e.max-коронка фиксируется с использованием специального цемента. Стоматолог проверяет прилегание, прикус и доводит реставрацию до идеального состояния. При фиксации коронок важно строго соблюдать сухость операционного поля, что достигается с использованием коффердама. Это обеспечивает изоляцию зубов от влаги, создавая оптимальные условия для прочной адгезии цемента и предотвращая риск нарушения фиксации.

Для надёжной и долговечной фиксации коронок рекомендуется применять цементы и адгезивные системы высокого качества. Среди них особо выделяются такие материалы, как Variolink, Nexus 3, а также универсальные цементы от Bisco Universal. Эти материалы обеспечивают превосходную прочность соединения, высокую эстетику и долговечность, что делает их оптимальным выбором для фиксации коронок.

Уход за коронками e.max
Для сохранения долговечности и эстетики реставраций важно соблюдать простые рекомендации:

  • Регулярная гигиена полости рта (чистка зубов дважды в день мягкой щёткой).
  • Использование ирригатора для ухода за промежутками между зубами и десной.
  • Регулярные профилактические осмотры у стоматолога и профессиональная чистка зубов.
  • Избегайте перегрузок, таких как раскалывание орехов или открывание упаковок зубами.
Заключение
Коронки e.max – это идеальное решение для восстановления зубов, которое сочетает прочность, эстетику и комфорт. Они обеспечивают долговечный результат, позволяя пациенту наслаждаться не только функциональностью, но и красотой своей улыбки. Если вы хотите вернуть зубам здоровье и природный вид, реставрации с использованием e.max – это ваш выбор для совершенства.

Статья написана кандидатом медицинских наук, главным врачом клиники, хирургом-имплантологом Искендеровым Рамилем Мазахировичем

Профессиональный стаж работы: 17 лет

Иточники:

1.Эстетическая и реставрационная стоматология. Выбор материалов и методовАвтор Дуглас Терри

2.Терапевтическая стоматология - Е. В. Боровский 2011 год

3.Эстетическая стоматология и керамические реставрацииАвтор Бернар Туати, Пол Миара, Дэн Нэтэнсон

Рамиль Искендеров

Главный врач клиники, стоматолог-ортопед, хирург-имплантолог

Каждая статья на нашем сайте создается опытным врачом-стоматологом, доктором имеющим опыт работы  15 лет, и проходит обязательную проверку со стороны нашего главного врача, доктора Рамиля Мазахировича Искендерова, практикующим с 2008 года. Мы гарантируем качество и достоверность информации, предоставляемой нашими специалистами. Не смотря на это каждый случай индивидуален имеются противопоказания, для точной постановки диагноза необходимо проконсультироваться со специалистом.

ВАЖНО
Эта статья предоставляет информацию исключительно для ознакомления и образовательных целей. Она не предназначена для использования в качестве инструмента для самостоятельной диагностики или лечения заболеваний. Вся информация, содержащаяся в статье, не заменяет консультацию специалиста.

Если у вас возникают проблемы или вопросы о вашем состоянии здоровья, рекомендуется обратиться за консультацией к квалифицированному медицинскому специалисту или врачу. Специалист сможет провести точную диагностику, предложить соответствующее лечение и дать рекомендации, приспособленные к вашему индивидуальному состоянию здоровья. Помните, что самолечение может быть опасным и привести к нежелательным последствиям.

связанные страницы


Лечение кариеса ICON                                          Бутылочный кариес                                                Чистка Зубов

Лечение глубокого кариеса                                Стадии кариеса                                                         Протезирование зубов

Диагностика кариеса                                            Бутылочный кариес                                                 Виниры

Лечение среднего кариеса                                  Скрытый кариес                                                        Установка Имплантов

Лечение клиновидного дефекта                        Что такое клиновидный дефект                           Отбеливание

Лечение кариеса эмали                                       Рекомендации после установки пломбы           Металлокерамические коронки

Лечение передних зубов                                    Временная пломба                                                    Лечение пульпита


Контакты