Главная / Установка виниров в Москве / Как обтачивают зубы под виниры

В мире современной стоматологии тенденции к совершенству и красоте становятся все более заметными. Одним из востребованных методов улучшения эстетики улыбки является использование виниров — тонких керамических накладок, прикрывающих переднюю часть зубов. Однако, чтобы достичь идеального результата, необходимо уделить особое внимание процессу обточки зубов перед установкой виниров. В этой статье мы рассмотрим технику обточки зубов под виниры, раскрывая ключевые аспекты этапа, который определяет не только эстетическую гармонию, но и долговечность будущего улучшения улыбки.

обтачивание зубов под виниры


Обтачивание зубов под виниры – это тщательно продуманный и точный процесс, играющий ключевую роль в достижении идеального сочетания эстетики и функциональности. Врач, осуществляющий эту процедуру, сталкивается с задачей создания оптимального пространства для установки тонких керамических накладок – виниров.

Одним из важных аспектов обточивания зубов под виниры является удаление тонкого слоя эмали с передней поверхности зуба и его режущего края. Этот этап предполагает аккуратное удаление 0.3-0.5 мм толщины эмали, что позволяет создать необходимое пространство для прилегания виниров к поверхности зуба.

Эта процедура не только обеспечивает необходимый объем для виниров, но также играет решающую роль в создании естественного вида улыбки и обеспечении прочного крепления виниров. Внимательный подход и профессионализм врача в этом этапе определяют не только визуальное совершенство улыбки пациента, но и долговечность результатов данного косметического процесса.

Таким образом, обточивание зубов под виниры представляет собой деликатный баланс между сохранением структурной целостности и достижением оптимального пространства для керамических накладок, создавая улыбку, которая радует глаз и обеспечивает здоровье зубов в долгосрочной перспективе.

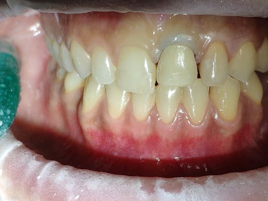
КАК ОБТАЧИВАЮТ ЗУБЫ ПОД ВИНИРЫ ФОТО

На данной фотографии представлены зубы после обточки под виниры, что подчеркивает тщательную подготовку для данной стоматологической процедуры. Заметно, что все ткани с апроксимальных (боковых) поверхностей были сохранены, что способствует естественному и гармоничному виду результата.

Особое внимание привлекает обработка передней поверхности зубов, проведенная врачом-стоматологом-ортопедом. В процессе обточки было удалено приблизительно 0.3 мм материала в области около режущего края и примерно 1 мм в других участках. Такой вид винира известен как винир с перекрытием, что означает, что небольшой слой зубного материала был удален, чтобы создать пространство для нанесения винира.

Этот метод обеспечивает прочное и эстетичное крепление виниров, при этом сохраняется естественная структура зубов.

Как обтачивают зубы под виниры. Мнение эксперта

Многие пациенты боятся что после обточки зубов под виниры, будет "удалено" большое количество тканей. На самом деле это не так и врач старается сохранить максимально объёмное количество эмали, чем больше эмали будет сохранено при "стачивание", тем лучше. Поэтому виниры выгодно отличаются от протезирования коронками своим щадящим к тканям зубов подходом. 

Рамиль Искендеров

Главный врач клиники, стоматолог-ортопед, хирург-имплантолог

записаться на прием

ЗУБЫ ПОСЛЕ ОБТОЧКИ ПОД ВИНИРЫ

Процесс обточивания зубов под виниры требует высокой точности и детального контроля. Одним из важных этапов в данной процедуре является оценка объема тканей, которые необходимо удалить, чтобы обеспечить правильное прилегание винира. Для достижения этой точности и контроля используется специальный инструмент – силиконовый ключ.


Перед началом обточивания зуба под винир врач снимает силиконовый ключ заранее. На ключе отображается изначальный объем тканей, и это служит отправной точкой для оценки процесса обточивания. Когда врач начинает работу, он прикладывает ключ к зубу, используя его в качестве индикатора для определения, достаточно ли тканей было удалено.

Силиконовый ключ позволяет врачу в режиме реального времени оценивать результаты обточивания и контролировать толщину препарирования. Этот метод не только обеспечивает точность в процессе работы, но также гарантирует сохранение необходимого объема тканей для создания прочной и эстетичной конструкции винира.

Таким образом, использование силиконового ключа становится неотъемлемым элементом в процессе обточивания зубов под виниры, обеспечивая врачу контроль и уверенность в достижении оптимальных результатов.

КАК СТАЧИВАЮТ ЗУБЫ ПОД ВИНИРЫ

Процесс одонтопрепарирования, или стачивания зубов под виниры, является важным этапом стоматологической работы, и его проведение требует высокой профессиональной точности. Врач, осуществляющий эту процедуру, обычно предварительно применяет анестезию с целью уменьшить дискомфорт и избежать болевых ощущений у пациента.

Желательно, чтобы одонтопрепарирование выполнял опытный стоматолог, обладающий индивидуальным увеличением и освещением, такими как бинокуляры. Использование бинокуляров обеспечивает дополнительное увеличение в 3-5 раз, что предоставляет врачу превосходный контроль над процессом препарирования зубов.

 Эта ювелирная работа требует высокой точности, и бинокуляры позволяют врачу видеть детали более четко, что существенно важно при работе с минимальными структурными изменениями.

Инструмент для обточки, такой как повышающий наконечник, является ключевым элементом в этом процессе. Этот вид наконечника вращает инструмент с регулируемой скоростью, варьирующейся от 5000 до 300000 оборотов в минуту. Это предоставляет врачу возможность тонко настраивать скорость и интенсивность препарирования в зависимости от индивидуальных особенностей каждого случая. Такой подход позволяет врачу эффективно и контролируемо удалять эмаль, сохраняя при этом максимальное количество зубной ткани.

Информация проверена экспертом.

Профессиональный стаж работы: 17 лет

Каждый случай индивидуален имеются противопоказания, для точной постановки диагноза необходимо проконсультироваться со специалистом.

Рамиль Искендеров

Главный врач клиники, стоматолог-ортопед, хирург-имплантолог

Часто задаваемые вопросы:

Какие виды протезирования предлагает ваша стоматологическая клиника?

В нашей клинике мы предлагаем широкий спектр услуг по протезированию, включая виниры, несъемные конструкции, микропротезы и all-on-4. Мы также проводим ортодонтическое лечение с помощью брекетов и элайнеров.

Какие преимущества имеют виниры?

Виниры являются одним из наиболее эстетичных методов реставрации зубов, они позволяют корректировать оттенок, форму и прозрачность зубов. Кроме того, виниры имеют высокую прочность и требуют минимальной подготовки зуба перед установкой.

Какие противопоказания могут быть для виниринга?

Перед установкой виниров необходимо провести предварительную консультацию со стоматологом. При наличии пародонтоза, гингивита или других заболеваний десен или ротовой полости, установка виниров может быть невозможна. Также стоит учитывать, что виниры не рекомендуются при бруксизме - привычке скрежетать зубами.

Какова стоимость установки виниров и других видов протезирования?

Стоимость зависит от многих факторов, включая метод протезирования, количество зубов, которые нужно протезировать, и общее состояние зубов и десен пациента. Для уточнения стоимости рекомендуем записаться на прием и провести осмотр с врачом-стоматологом. Мы также предлагаем специальные акции и скидки на определенные виды услуг.

Как проходит процедура установки виниров?

Перед установкой виниров необходимо провести подготовительную обработку эмали и препарирование зуба, если это необходимо. Затем врач-стоматолог выбирает подходящий оттенок и форму винира и ставит его на зуб. Для более точной работы используется микроскоп. После установки винира проводится полировка и коррекция, если необходимо.

Как долго длится процесс протезирования?

Время протезирования зависит от выбранного метода и количества зубов, которые нужно протезировать. Некоторые виды протезирования, такие как установка виниров или композитных пластин, могут быть выполнены за один визит к стоматологу, обычно занимают около 2-3 часов. Другие методы, такие как изготовление керамических крон или мостов, могут занять несколько недель, так как требуются предварительные оттиски и изготовление конструкции в зуботехнической лаборатории.

В случае имплантации зубов процесс может занять от нескольких месяцев до года, в зависимости от количества и состояния кости в челюсти. Терапевтическая обработка и лечение зубов перед протезированием также может занять определенное время.

Поэтому, для получения более точной информации о времени протезирования, рекомендуется обратиться к стоматологу для проведения предварительной консультации и планирования процесса протезирования.
КОНТАКТЫ

ТЕЛЕФОН:
+7 (495) 021-90-60
АДРЕС:
г. Москва Садовая-Черногрязская 11/2