Как часто делать чистку зубов у стоматолога



Чистка зубов - это не только важный элемент ухода за полостью рта, но и ключевой процедурой для сохранения здоровья зубов и десен. Она удаляет налет и зубной камень, предотвращает развитие кариеса и заболеваний десен, а также сохраняет белоснежность и свежесть дыхания. В данной статье мы рассмотрим ценовой диапазон на профессиональную гигиену полости рта в стоматологической клинике.

Профессиональная гигиена полости рта - это комплекс мероприятий, направленных на удаление зубного налета и зубного камня, полирование зубов и обработку десен.

Как часто необходимо делать профессиональную гигиену зубов?

Профессиональная гигиена полости рта является важной частью заботы о своем здоровье и предотвращения различных проблем в области стоматологии. Рекомендуется проводить профессиональную гигиену полости рта не менее двух раз в год.
Во время профессиональной гигиены полости рта стоматолог проводит процедуру чистки зубов, удаления зубного налета, зубного камня и других отложений на зубах. Также проводится полировка зубов, которая помогает сделать зубы гладкими и блестящими, что способствует уменьшению риска образования новых отложений и заболеваний полости рта.

Помимо очистки зубов, в рамках профессиональной гигиены полости рта проводятся и другие процедуры, например, оценка состояния десен и рекомендации по уходу за полостью рта. При необходимости могут проводиться дополнительные процедуры, такие как лечение кариеса или удаление зубов мудрости.
Регулярная профессиональная гигиена полости рта помогает сохранить здоровье зубов и десен, предотвращает развитие кариеса, гингивита, пародонтита и других заболеваний. Эта процедура также помогает сохранить белоснежную улыбку, улучшает качество жизни и дает возможность предотвратить болезненные ощущения во время еды или при разговоре.
Таким образом, профессиональная гигиена полости рта является важным элементом поддержания здоровья зубов и десен, а проведение ее не менее двух раз в год помогает сохранить улыбку на долгие годы. 


чистка зубов шесть услуг по одной цене


УЛЬТРАЗВУК

Снятие зубного камня ультразвуковым скайлером EMS (Швейцария) - эффективное и бережное удаление зубных отложений

AIR FLOW

Очистка зубов от черного, желтого и коричневого налета с помощью современного аппарата Air-Flow NSK (Япония)

ПОЛИРОВКА

Полировка зубов специальными щеточками для обеспечения максимальной гладкости их поверхности

Подбор средств гигиены

Тщательный анализ состояния зубов и десен для определения наиболее подходящие средства для ухода за полостью рта

обучение гигиене

Объяснение правил ухода и чистки зубов и десны для уменьшения риска заболеваний полости рта

Профессиональная гигиена полости рта является важной процедурой, которая помогает сохранить здоровье зубов и десен. Однако, многие люди откладывают эту процедуру на потом, из-за различных причин, таких как боязнь, нехватка времени или финансовые проблемы. Важно помнить, что если проходить профессиональную гигиену полости рта вовремя, то процедура будет переноситься легче и безболезненно.

профессиональная гигиена зубов 



1

Air flow

Метод Air-Flow - быстрый и эффективный способ профессиональной гигиены полости рта. С его помощью зубы очищаются от зубного налета и камня за несколько минут. Процедура проводится с помощью специального аппарата, который выдувает на поверхность зубов поток воздуха со специальным порошком. Этот порошок изготовлен из натуральных материалов и не содержит абразивных веществ, поэтому он не повреждает эмаль зубов. Зубы после чистки с помощью Air-Flow становятся белоснежными и гладкими на ощупь.

2

ультразвук

Ультразвуковая чистка зубов - это метод профессиональной гигиены полости рта, который использует ультразвуковые волны для удаления зубного налета и камня. Во время процедуры стоматолог проводит специальный инструмент вдоль зубных поверхностей, который генерирует ультразвуковые волны. Они не ощущаются пациентом, но позволяют легко и эффективно удалять зубной налет и камень. После ультразвуковой чистки зубов у пациента остается ощущение чистоты и свежести во рту.

3

щеточки

Чистка зубов с помощью специальных щеток и паст - это один из самых распространенных методов профессиональной гигиены полости рта. Во время процедуры стоматолог использует специальную щетку и пасту, которые помогают удалить зубной налет и камень с зубных поверхностей. Щетки бывают различных размеров и форм, чтобы достичь даже самых труднодоступных участков полости рта. Пасты содержат абразивные частицы, которые помогают механически удалить зубной налет и камень. После чистки зубов с помощью специальных щеток и паст у пациента остается ощущение гладкости и чистоты зубов, а также свежести во рту.

Dental Opera

Врачи с более 10 летним стажем
постоянно повышающие свою квалификацию на международных конференциях и семинарах
Современное оборудование
от ведущих мировых производителей: швейцарское ультразвуковые скейлеры EMS, аппараты Air-Flow NSK из Японии
Рядом с метро Курская и Красные ворота
К нам быстро и легко добраться из любой точки города
гигиена полости рта 5 по цене 1
снятие зубного камня, удаление налета, полировка зубов, подбор средств гигиены.

Уникальное оборудование и опытные врачи

Наши специалисты проводят все процедуры с использованием дополнительного индивидуального увеличения.
Специальная оптика, которую мы используем, позволяет нам рассмотреть мельчайшие зубные камни, налет и другие проблемы, которые могут привести к заболеваниям полости рта. Увеличение в 3.5-5 раз и дополнительное освещение улучшают визуализацию проблем и помогают решить их более эффективно.
Это дает возможность нашим специалистам более точно и тщательно производить чистку зубов и устранять все проблемы в полости рта.

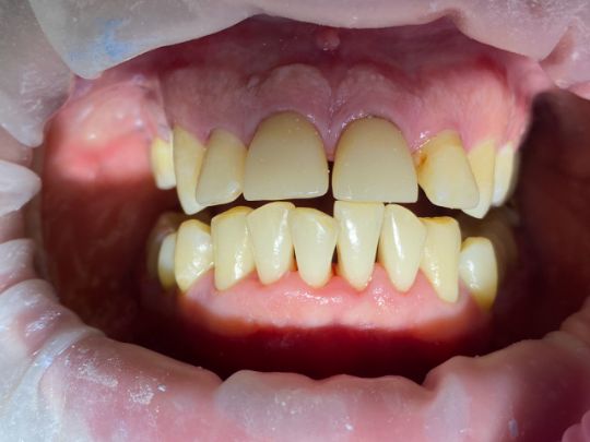
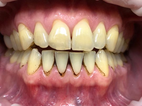
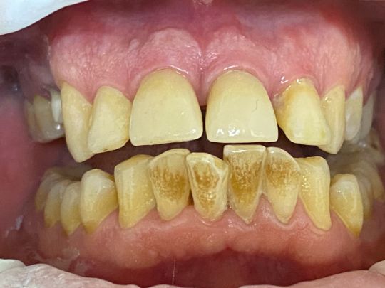
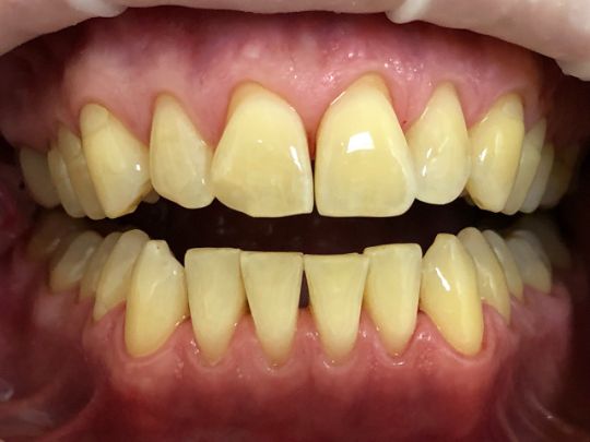
Результаты профессиональной чистки


Фото До снятия зубного налета
ФОТО после СНЯТИЯ ЗУБНОГО НАЛЕТА
Фото До снятия зубного налета
ФОТО после СНЯТИЯ ЗУБНОГО НАЛЕТА
Фото До снятия зубного налета
Фото После снятия зубного налета

Цены на услуги


АКЦИЯ Комплексная гигиена*4990₽
Снятие зубных отложений в области обеих челюстей ультразвуков, полировки пастой и рем.каппа
5000₽
Снятие пигментированного налета с зубов обеих челюстей Air-Flow, полировка пастой и рем.каппа с изоляцией (Оптрагейт)
5600₽
Наложение капп с реминерализурующем гелем ( 2 челюсти)
1200₽
Обучение гигиене полости рта и зубов с подбором индивидуальных средств гигиены
500₽

*Акция Комплексная гигиена:
  • снятие зубных отложений в области обеих челюстей при помощи ультразвука, полировки пастой и рем.каппа
  • снятие пигментированного налета с зубов обеих челюстей Air-Flow, полировка пастой и рем.каппа с изоляцией (Оптрагейт)
  • наложение капп с реминерализурующем гелем( 2 челюсти)
  • обучение гигиене полости рта и зубов с подбором индивидуальных средств гигиены


отзывы


Наши специалисты

Елена Кузнецова

Елена Кузнецова

Стоматолог-терапевт


 
Елена Виннова

Елена Виннова

Стоматолог-терапевт, ортопед-микропротезист

 

Вопросы

ЭТО БОЛЬНО?

ПРОФЕССИОНАЛЬНАЯ ГИГИЕНА,  В НАШЕЙ КЛИНИКИ ПРОХОДИТ АБСОЛЮТНО БЕЗБОЛЕЗНЕННО

КАК ЧАСТО РЕКОМЕНДУЕТСЯ ПРОВОДИТЬ ГИГИЕНУ?

МЫ РЕКОМЕНДУЕМ ПРОВОДИТЬ КАЖДЫЕ 3 МЕСЯЦА


Контакты